Formation continue
687 formations Devenir auteurPour se faciliter la prothèse, il est très utile de comprendre pourquoi et comment utiliser […]
Pour se faciliter la prothèse, il est très utile de comprendre pourquoi et comment utiliser […]
En dentisterie esthétique, le beau peut être défini comme ce qui ne se voit pas. […]
« Mon ami vétérinaire, le Docteur Louis Ansay, me téléphone un matin pour me demander […]
Cas clinique Live du 22 septembre 2016, réalisé par le Dr. Christophe Rignon-Bret, sur les […]
Aujourd’hui le collage devient incontournable dans notre activité. Divers protocoles existent pour répondre aux demandes des […]
Protocole de fabrication d'une prothèse complète maxillaire et mandibulaire
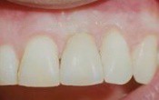
La dent conique, dit dent en grain de riz, s'observe presque toujours dans la zone des dents de sagesse ou des incisives latérales. En secteur antérieur, cette anomalie est particulièrement gênante et de nombreux patients demandent une fermeture de ce hiatus. Habituellement ce travail s'effectue avec un composite ou en recourant à des facettes. Je vous présente ici un cas clinique qui a pu être traité parfaitement avec VITA SUPRINITY, la nouvelle céramique vitreuse pour la CFAO.
Dans cette vidéo, les auteurs nous présentent le cas d'un patient bruxomane dont la dimension verticale est fortement diminuée avec une usure très importante des dents antérieures. Existe t-il une méthode scientifique sûre pour déterminer une nouvelle dimension verticale ? Comment allons-nous apporter un confort fonctionnel et une amélioration esthétique ?.....
Les reconstitutions pré-prothétiques en méthode directe au composite sont largement utilisées depuis de nombreuses années, mais les dents dépulpées doivent être souvent renforcées ou reconstituées par des inlay-cores.



