Le Carriere Motion® : une stratégie efficace pour la correction des classes 2
Orthodontie Par Jacques-Yves ASSOR le 10-02-2025La correction du sens antéro-postérieur a toujours été un challenge pour les orthodontistes soucieux de rétablir une occlusion fonctionnelle et stable. Cette correction intervient classiquement à un stade plus ou moins avancé dans le traitement et nécessite une forte coopération du patient à un moment qui n’est pas toujours propice. En effet, la motivation et la coopération diminuent au fur et à mesure que le traitement se déroule. Lorsque l’on sollicite le patient en fin de traitement pour le port d’élastiques intermaxillaires en vue de la correction de la classe 2, celui-ci est beaucoup moins perméable à juste titre (fig.01). La finition en bonne occlusion de classe 1 peut être alors compromise.
La philosophie du « Sagittal First » constitue un atout stratégique majeur. Elle est basée sur la transformation des classes 2 ou classes 3 en classe 1, en début du traitement, avant même la pose du multi-attaches ou de gouttières d’alignement. Une fois la classe 1 obtenue, le praticien poursuit le traitement avec tout type de dispositifs orthodontiques.

Fig. 01 : comparaison des protocoles de traitement.
Le Carriere Motion® s’inscrit dans cette nouvelle approche avec une mise en place et des conditions d’utilisation simples.
Ce dispositif a une spécificité : l’utilisation d’une mécanique segmentée couplée à des élastiques intermaxillaires dès le jour de la pose sans que les arcades dentaires aient été préparées au préalable.
Le cas clinique présenté illustre l’efficacité du Carriere Motion® dans le cadre d’un traitement par gouttières d’alignement.
Cas clinique
Solenne, 14 ans.

Fig. 02 : à l’examen exobuccal, on note un profil rétrusif avec un étage inférieur diminué.


Fig. 03 : au niveau endobucale, une malocclusion de classe 2 division 1 avec supraclusion marquée, un surplomb de 4 mm et une dysharmonie dento-maxillaire.

Fig. 04 : la téléradiographie de profil confirme la classe 2 squelettique associée à une rétro-mandibulie.
Étape 1 : phase de Carriere Motion®
Le Carriere Motion® est installé à l’arcade maxillaire, la taille étant été choisie au préalable à l’aide de la réglette fournie avec le dispositif. Il est collé directement sur les faces vestibulaires des canines et premières molaires. Une gouttière thermoformée à l’arcade mandibulaire sera réalisée avec découpe bouton sur 36 et 46 et servira d’ancrage pour des élastiques intermaxillaires.

Fig. 05 : pose du Carriere Motion®.
Les tractions intermaxillaires s’étendent du crochet antérieur du Carriere Motion® positionné sur les canines aux boutons collés sur les premières molaires mandibulaires. La force utilisée sera de 6 oz (force 1) le premier mois et de 8 oz (force 2) les mois suivants jusqu’à l’obtention de la superclasse 1. L’hypercorrection est recherchée.
Étape 2 : phase de temporisation
La classe 1 est obtenue en 5 mois.


Fig. 06 : correction de la classe 2 au bout de 5 mois, apparition de diastèmes antérieurs. Sur les radiographies, on note une amélioration du profil et une réduction du surplomb antérieur.

Fig. 07 : la dépose du dispositif et la prise d’empreinte optique est réalisée pour la phase de traitement par gouttières d’alignement.
La phase de temporisation est réalisée au niveau de l’arcade maxillaire par une gouttière thermoformée réalisée le jour même de la dépose. Cette gouttière sera en port continu 22h sur 24 jusqu’à la reprise du traitement par les gouttières d’alignement de correction.
Étape 3 : phase de traitement par gouttières d’alignement
Le traitement est réalisé avec le système Invisalign® lite Package (14 aligneurs seulement) et sera suivi d’une phase de finition. L’utilisation de tractions intermaxillaire se poursuit dans les premières semaines pour éviter la perte d’ancrage et sera modulée en fonction des différentes étapes.


Fig. 08 : étape de finition.
La contention a été réalisée en fin de traitement à l’aide d’un fil collé aux deux arcades.

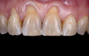
Fig. 09 : vues endobuccales de fin de traitement.
On note une amélioration significative du profil et un sourire harmonieux.



Fig. 10 : situation finale.
Conclusion
La correction précoce de la classe 2 sera plus rapide et plus prédictible avec le Carriere Motion®.
La correction des classes 2 peut se faire par gouttières d’alignement seules, mais nécessite alors un nombre conséquent de gouttières pour y parvenir.
Si nous cherchons à simplifier la difficulté de nos cas, avant même la phase multi-attaches ou gouttières d’alignement le Carriere Motion® est le dispositif de choix.
La remise en classe 1 précoce contribuerait vraisemblablement à une meilleure stabilité du sens sagittal, mais encore faut-il savoir la conserver ?
Cet article vous est proposé par le Dr Jacques-Yves ASSOR et Orthoplus.



















