Accueil >
Se former
> Formation continue >

L’extraction-implantation immédiate : le nouveau gold standard en implantologie moderne ?

Best of Implantology, Implantologie Par Manuel HAUTEFAYE, Arnaud PATUREL le 05-01-2026

Depuis plusieurs décennies, l’implantologie a connu de nombreuses évolutions, passant d’approches invasives et segmentées à des protocoles plus rapides, biomimétiques et conservateurs. Au cœur de cette transformation, l’extraction-implantation immédiate (EII) est progressivement devenue une technique largement utilisée dans les cabinets dentaires.

Cette technique consiste à poser un implant dans l’alvéole le jour même de l’extraction. Pour certains, elle représente le nouveau gold standard dans de nombreuses situations cliniques. Pour d’autres, elle demeure une approche intéressante mais à réserver à des cas sélectionnés.
Alors, l’EII est-elle l’avenir de l’implantologie ? Peut-elle être appliquée à toutes les zones ?

Nous allons définir les critères permettant de faire son choix devant chaque situation clinique que l’on peut rencontrer au quotidien.

 

implantologie
Fig. 01 : Implantation traditionnelle sur 36 ; EII sur 37(1).

 

Évolution des protocoles implantaires

Historiquement, la pose d’un implant après extraction suit un protocole en plusieurs temps : l’extraction de la dent est suivie d’une phase de cicatrisation osseuse et muqueuse, puis de la pose d’un implant en un ou deux temps.

Cette approche, bien qu’encore très souvent utilisée, entraine deux conséquences notables : une perte de volume inhérente à l’extraction dentaire (pouvant entrainer des problématiques esthétiques et fonctionnelles) et des temps de cicatrisation pouvant être vécus comme longs par les patients(2,3).

L’avènement de l’implantologie moderne, l’évolution des surfaces implantaires, des biomatériaux et la compréhension de la biologie ont progressivement ouvert la voie à des protocoles plus rapides d’extraction-implantation immédiate permettant de limiter les modifications de volumes et de raccourcir les durées de traitements.

Aujourd’hui, l’extraction-implantation immédiate est considérée comme une option fiable, avec des taux de survie comparables aux approches différées lorsque la sélection des cas et la technique sont maîtrisées(4,5).

 

Avantages cliniques et biologiques de l’EII(4,5)

 

Limiter les pertes de volumes osseux et muqueux

Après une extraction, l’alvéole subit un remodelage entrainant une résorption osseuse et muqueuse pouvant être importante, notamment au niveau des tables vestibulaires. Elles peuvent alors nécessiter le recours à des chirurgies de reconstructions osseuse ou muqueuse alourdissant le parcours de soins du patient ou le recours à des compromis esthétiques et fonctionnels entrainant des inconforts.

L’implantation immédiate, associée à des stratégies de préservation alvéolaire, permet de limiter les pertes de volumes et de guider de manière personnalisée la cicatrisation des tissus.

 

Réduction du nombre d’interventions et du temps global de traitement

Un seul temps opératoire signifie une diminution de la morbidité patient, du temps de traitement et du nombre d’anesthésies. Cela impacte aussi positivement la compliance et l’expérience globale du patient. En combinant extraction et pose d’implant, le praticien peut envisager, dans certains cas, une mise en esthétique ou en fonction immédiate.
Le patient évite la période d’édentation temporaire, souvent mal vécue esthétiquement.

 

Points clés et prérequis

 

Nombre de parois osseuses

Une table vestibulaire absente compromet la stabilisation potentielle d’un biomatériau pouvant contre-indiquer la pose simultanée de l’implant. La classification dELIAN(6) nous permet de cadrer le choix de la technique chirurgicale entre l’extraction-implantation immédiate ou celle de la préservation alvéolaire sans implantation. Elle représente un facteur essentiel auquel le praticien devra systématiquement prêter attention avant de se lancer dans ce type de traitement.

Des techniques de régénération comme « l’Immediate Dentoalveolar Restoration » (IDR) décrite par le Dr Da Rosa permettent de dépasser cette limite(7,8).

 

Infections et lésions parodontales

Un site infecté ou nécrotique ne représente pas de contre-indication à la pose immédiate d’implant dans la mesure où le débridement complet et minutieux de l’alvéole est réalisé.

 

Stabilité primaire

Une stabilité inférieure à 35 N rend la mise en esthétique risquée et nécessite la mise en place d’une technique alternative.

 

Positionnement de l’implant

Le positionnement tridimensionnel de l’implant doit suivre les recommandations de l’European Association for Osseointegration (EAO)(9) dans l’ensemble des plans de l’espace afin de permettre :

• l’obtention d’un espace prothétique cohérent,
• la réalisation d’une prothèse transvissée et harmonieuse,
• le respect des structures adjacentes.

 

Courbe d’apprentissage et exigences techniques

L’EII requiert une expertise chirurgicale et une vision prothétique préopératoire. Elle nécessite une courbe d’apprentissage progressive, encadrée et rigoureuse du praticien.

 

Le rôle incontournable des techniques combinées

Elle nécessite la maitrise des techniques de régénération osseuse et gingivale concomitantes à la pose de l’implant afin de limiter les pertes de volumes (voir Fig. 4 et 5).
Le gap entre la table osseuse vestibulaire et l’implant doit être comblé avec un biomatériau et, dans les cas de biotypes fins (largement rencontrés), une greffe de tissu conjonctif doit être réalisée sans créer de tensions tissulaires. Elle impose donc au praticien de comprendre et de savoir réaliser un relâchement tissulaire ainsi que les différents prélèvements de tissus conjonctifs.

 

Compétences prothétiques

La stabilité volumétrique de l’espace biologique nécessite la réalisation d’une partie transgingivale adaptée tant au niveau de la forme que de l’état de surface afin de guider la cicatrisation des tissus.

 

Étude autour de différents cas cliniques

 

Extraction-implantation immédiate et mise en esthétique antérieure

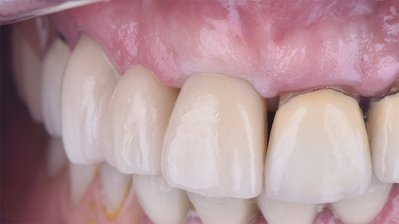
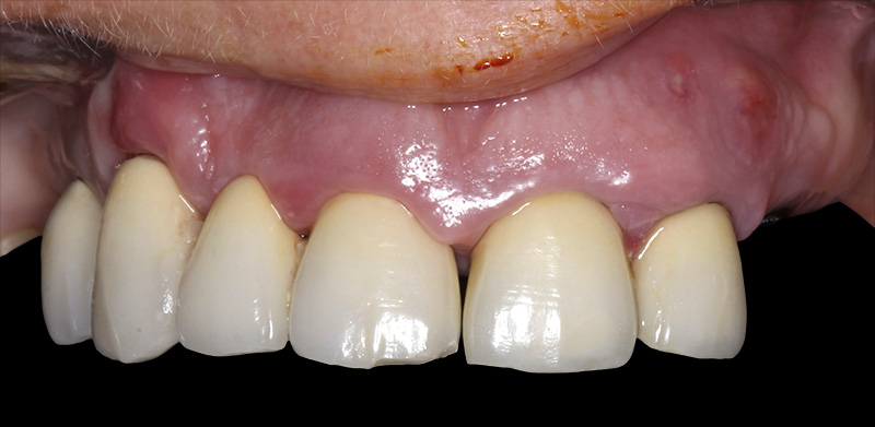
Dans ce cas clinique, la patiente se présente avec un bridge secteur 1 non conservables. Après analyse clinique et radiologique, l’arbre décisionnel nous oriente vers une technique d’extraction- implantation immédiate avec réalisation d’une prothèse provisoire (MECI) pour permettre de conserver l’architecture des tissus mous. Le cas est planifié avec notre laboratoire dans le but de réaliser une pose implantaire guidée afin que les implants respectent l’anatomie des tissus mous et le profil prothétique.

Après la pose implantaire, la mise en place de greffons de conjonctif au niveau des implants 11 et 13 permet d’apporter une épaisseur gingivale qui protégera nos implants dans le temps(10).

 

implantologie, situation initiale
Fig. 02 : situation initiale.

 

implantologie, chirurgie guidée
Fig. 03 : chirurgie guidée.

 

implantologie, greffe de conjonctif tubérositaire
Fig. 04 : greffe de conjonctif tubérositaire.

 

implantologie, situation postopératoire immédiate
Fig. 05 : situation postopératoire immédiate.

 

implantologie, cicatrisation à 3 mois
Fig. 06 : cicatrisation à 3 mois.

 

implantologie, prothèse d’usage en place
Fig. 07 : prothèse d’usage en place.

 

 

Extraction-implantation immédiate dans le secteur postérieur : concept du Socket Seal Abutment (SSA)

Si l’extraction-implantation immédiate s’est largement développée dans le secteur antérieur pour ses bénéfices esthétiques et tissulaires, son application en secteur postérieur obéit à des logiques similaires. Bien que les enjeux esthétiques soient moins importants qu’en antérieur, la préservation alvéolaire n’en demeure pas moins importante pour éviter les pertes de volume.

Le praticien doit chercher les zones potentielles d’ancrage qui se situent au niveau du septum osseux inter-radiculaire et dans les zones linguales ou palatines. Il lui faut porter une attention particulière à la proximité avec le sinus maxillaire et le nerf alvéolaire inférieur (NAI).

Afin de guider la cicatrisation tissulaire et d’hermétiser l’alvéole, le Dr Gary Finelle propose, en 2014, la réalisation d’un pilier SSA (Socket Seal Abutment)(11).

 

Pilier SSA

Fig. 08 : pilier SSA.

Il s’agit d’un pilier personnalisé transvissé réalisé directement à la suite de la pose implantaire. Il doit avoir une forme permettant de guider la cicatrisation de l’espace biologique implantaire de manière progressive et répond à un cahier des charges strict(11).
x

 

Phases chirurgicales et prothétiques de la réalisation de l’EII postérieure et du SSA
Fig. 09 : phases chirurgicales et prothétiques de la réalisation de l’EII postérieure et du SSA.

 

 

Bridge complet implanto-portée

Dans le cadre d’une réhabilitation complète maxillaire ou mandibulaire par bridge implanto-porté, cette approche permet de réduire le nombre d’interventions, de préserver l’os et les tissus mous et de raccourcir le temps de traitement.

Les indications incluent des dents résiduelles non viables avec un os suffisant pour assurer la stabilité primaire des implants et des patients en bonne santé générale. Les contre-indications sont l’infection aiguë non contrôlée, des défauts osseux majeurs ou des conditions compromettant la cicatrisation.

Le protocole se déroule alors en trois phases :

Une phase de planification prothétique avec la réalisation d’un wax-up numérique qui sera corrélé, grâce aux dents restantes, avec le DICOM réalisé (technique du double scanner si le patient est édenté). Cette procédure permet au praticien de planifier le bon positionnement de ses futurs implants de manière à obtenir une prothèse transvissée. Autrement dit, les implants doivent être dans l’os et en face des futures dents tout en permettant la préservation des corticales et des papilles interdentaires.

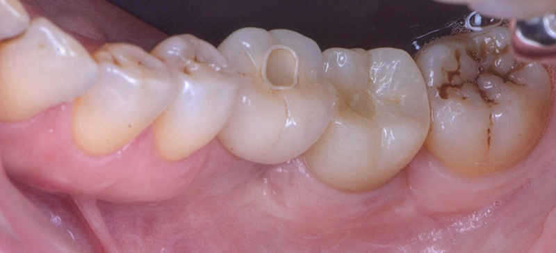
Une phase chirurgicale : les dents doivent être extraites de la manière la plus atraumatique possible, puis les sites alvéolaires doivent minutieusement être nettoyés.
Les implants sont ensuite placés immédiatement dans les alvéoles ou dans l’os disponible, en recherchant une stabilité primaire suffisante. Dans certains cas, le praticien peut recourir à des guides chirurgicaux à étages, lui permettant de poser les implants selon la planification préalablement réalisée.

 

implantologie, bridge provisoire en place sur guide à étage
Fig. 10 : planification au laboratoire (Denteal Lorient) et bridge provisoire en place grâce au guide à étage.

Les aménagements muqueux sont ensuite réalisés et les gaps implantaires sont comblés par un biomatériau afin de limiter la résorption osseuse lors de la cicatrisation.

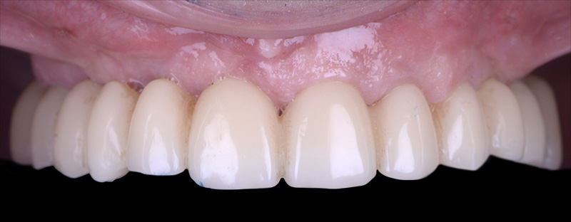
Une phase de temporisation : une prothèse provisoire peut être fixée sur les implants, avec un ajustement occlusal précis pour répartir uniformément les forces et protéger les implants. L’utilisation de guides à étages permet au praticien de délivrer la prothèse provisoire immédiatement.

 

implantologie, patient adressé pour une réhabilitation complète
Fig. 11 : patient adressé pour une réhabilitation complète implantoportée.

 

implantologie, situation à un mois postopératoire
Fig. 12 : situation à un mois postopératoire.

 

 

La mise en charge immédiate : un atout ou un risque ?

L’EII n’implique pas systématiquement une mise en charge immédiate. Celle-ci doit être envisagée uniquement si :

• la stabilité primaire est élevée (> 35 Ncm),
• la prothèse temporaire est en innoclusion statique et dynamique (excepté lors des reconstructions complètes),
• le patient respecte une alimentation adaptée.

Les méta-analyses donnent des taux de survie implantaires en EII compris entre 93 % et 98 % sur 5 à 10 ans, ce qui équivaut aux protocoles différés(12).

Toutefois, les complications esthétiques sont plus fréquentes si la sélection est insuffisante et les techniques de gestion des tissus mous non adaptées(13).
Les sociétés savantes (ITI, EAO) considèrent l’EII comme validée pour des cas strictement sélectionnés, mais ne l’érigent pas encore en référence universelle.

 

Conclusion

L’EII est considérée comme sûre en 2025. Elle permet d’anticiper la perte de volume inhérente à la cicatrisation post-extractionnelle.

Cette pratique améliore l’expérience patient en diminuant le temps de traitement. Elle nécessite le respect et la compréhension de protocoles précis et réclame la maitrise de plusieurs techniques chirurgicales et prothétiques.

Il apparait alors très intéressant pour les praticiens pratiquant l’implantologie de se former à ces techniques qui s’imposent progressivement comme des techniques de prédilection en implantologie contemporaine.

 


 

Cet article vous est proposé par les Drs Manuel HAUTEFAYE et Arnaud PATUREL.
Retrouvez tous les replays du congrès en exclusivité sur Dentalespace, dans la rubrique dédiée à Best of Implantology.

Best Of en Région 2025

 

Références bibliographiques

(1) Bassir SH, El Kholy K, Chen CY, Lee KH, Intini G. – Outcome of early dental implant placement versus other dental implant placement protocols: A systematic review and meta-analysis.
J Periodontol. 2019 May;90(5):493-506. doi: 10.1002/JPER.18-0338. Epub 2018 Dec 5.

(2) Chen ST, Buser D.Clinical and esthetic outcomes of implants placed in postextraction sites.
J Oral Maxillofac Implants. 2009;24(Suppl):186‑217.

(3) Esposito M, Grusovin MG, Polyzos IP, Felice P, Worthington HV.Timing of implant placement after tooth extraction: immediate, immediate-delayed or delayed implants ?
Eur J Oral Implantol. 2010;3(3):189‑205.

(4) Botticelli D, Berglundh T, Lindhe J.Hard-tissue alterations at implants following immediate installation in extraction sites.
J Clin Periodontol. 2004;31:820‑828.

(5) Lang NP, Pun L, Lau KY, Li KY, Wong MCM.A systematic review on immediate implant placement and loading.
Clin Oral Implants Res. 2012;23(Suppl 5):39‑66.

(6) Elian N, Cho SC, Froum S, Smith RB, Tarnow DP.A simplified socket classification and repair technique.
Pract Proced Aesthet Dent. 2007 Mar;19(2):99-104; quiz 106.

(7) Hammerle CHF, Chen ST, Wilson TG.Consensus statements and recommended clinical procedures regarding the placement of implants in extraction sockets.
Int J Oral Maxillofac Implants. 2004;19(Suppl):26‑28.

(8) Da Rosa JCM, Pértile de Oliveira Rosa AC, Martins da Rosa D, Zardo CM.Immediate Dentoalveolar Restoration of compromised sockets: a novel technique.
Int J Esthet Dent. 2013;6(4):432‑443.

(9) European Association for Osseointegration (EAO).Guidelines on immediate implant placement.
2019.

(10) Kan JYK, Rungcharassaeng K, Morimoto T, Lozada J.Facial gingival tissue stability after immediate placement and provisionalization of maxillary anterior single implants.
J Periodontol. 2003;74:166‑172.

(11) Finelle G, Sanz-Martín I, Knafo B, Figué M, Popelut A.Digitalized CAD/CAM protocol for the fabrication of customized sealing socket healing abutments in immediate implants in molar sites.
Int J Comput Dent. 2019;22(2):187‑204. PMID: 31134225.

(12) Tomasi C, Sanz M, Cecchinato D, Pjetursson B, Ferrus J, Lang NP, Lindhe J.Bone dimensional variations at implants placed in fresh extraction sockets: a multilevel multivariate analysis.
Clin Oral Implants Res. 2010;21(1):30‑36.

(13) Sanz-Sánchez I, Sanz-Martín I, Figuero E, Sanz M.Clinical efficacy of immediate implant placement for single-tooth replacement: a systematic review and meta-analysis.
Clin Oral Investig. 2016;20:1995.

 

FavoriteLoadingAjouter aux favoris Partager à un ami
Partager

Envoyer un commentaire