Intérêt d’un nouveau protocole adhésif pour la reconstitution corono-radiculaire fibrée antérieure
Esthétique Par Mohamed Saad El Hachemi le 19-01-2026Les restaurations antérieures anciennes présentent fréquemment des défaillances esthétiques (opacité, contours sur- ou sous-dimensionnés, teinte discordante) et biologiques (joints ouverts, infiltration, inflammation marginale). L’essor des protocoles adhésifs universels et des composites autopolymérisants a permis d’optimiser la conservation tissulaire, la simplification des procédures adhésives des reconstitutions corono-radiculaires et l’intégration des céramiques.
Cet article décrit, pas à pas, la réhabilitation du secteur antérieur maxillaire chez une patiente âgée de 31 ans, en combinant :
• une reconstitution corono-radiculaire adhésive avec STELA™ Primer et STELA™ Automix (SDI) sur la 11, 21 & 22,
• une préparation biologique et esthétique des tissus mous 11, 21, 22 & 25
• Un éclaircissement dentaire
L’objectif est double :
- fournir un protocole clinique reproductible,
- illustrer l’apport d’un nouveau composite auto-polymérisable en prise par contact¹ pour le collage des tenons fibrés et pour la reconstitution de moignon dans ce cas précis.
Consultation

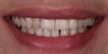
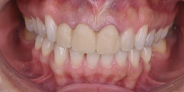
Fig. 01 : situation initiale.
La patiente consulte pour une gêne esthétique majeure liée à la forme des dents (couronnes maxillaires centrales/latérales vieillies, bords disgracieux, désalignements et dyschromies). Elle se plaignait de l’aspect opaque des restaurations existantes et de la visibilité du bandeau métallique cervical rendant la gencive grisâtre. Influencée par les réseaux, son souhait initial était la réalisation de facettes et de couronnes sur l’ensemble des dents.
Examen clinique

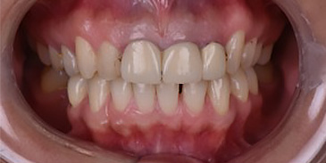
Fig. 02 : examen clinique de la patiente.
• Joints prothétiques visibles, infiltrations et caries secondaires proximales, profil d’émergence non physiologique, embrasures fermées, dyschromie marquée (couronnes réalisées en 2017).
• Reprise de la carie sur la 12 et de la 23.
Plan

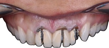
Fig. 03 : dépose des anciennes restaurations.
• Assainissement des tissus résiduels et retraitement des canaux.
• Réalisation d’une reconstruction corono-radiculaire adhésive
• Restauration collée tout céramique.

Fig. 04 : objectivisation des caries secondaires et moignons fragilisés.

Fig. 05 : les tenons métalliques et le ciment de scellement résiduel sont déposés.
Les lésions excavées et les limites sont nettoyées sous digue.

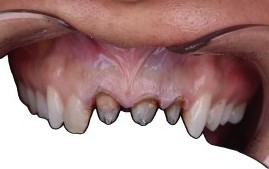
Fig. 06 : contrôle de l’étendue des lésions et de la hauteur de la férule².


Fig. 07 : alésage conservateur des canaux au foret du système de tenons fibré choisi.

Fig. 08 : micro-sablage des surfaces dentinaires accessibles.
Cette étape optionnelle a pour but d’augmenter l’adhérence et éliminer la boue dentinaire³.

Fig. 09 : traitement des tenons fibrés avec un silane universel multi primer à base de 10-MDP4.

Fig. 10 : préparation adhésive des canaux en vue du collage des tenons fibrés sur la 11, 21 et 22.
Application active de STELA™ Primer dans les canaux et sur les parois coronaires, légère évaporation (air doux), sans aucune photopolymérisation.
Reconstitution

Fig. 11 : injection de STELA™ Automix dans le canal et sur le moignon et mise en place sans attendre des tenons sous pression.
La réaction de prise du composite Stela va démarrer à l’interface du primer adhésif appliqué dans les canaux préparés.
Le mode de prise autopolymérisable par contact permet un durcissement complet de la colle (degré de conversion élevé du composite Stela) là où la lumière est difficile d’accès et où la photopolymérisation ne garantit pas un durcissement optimal des composites en intra canalaire.

Fig. 12 : une élongation coronaire a été effectuée sur les 11, 21, 22 et 25.
Des restaurations provisoires en résine ont été réalisées pour guider la cicatrisation gingivale et stabiliser la ligne du sourire.
Après 3 semaines, l’intégration biologique est observée, la gencive est saine sans signe d’inflammation et l’architecture papillaire est reconstituée.
Le traitement d’éclaircissement a été réalisé pendant la période de temporisation.

Fig. 13 : des restaurations tout céramiques ont été collées.
Après la dépose des reconstitutions provisoires, un profil d’émergence physiologique a été retrouvé.

Fig. 14 : situation finale.
Le résultat montre une intégration naturelle des restaurations, une teinte harmonisée et des profils d’émergence physiologiques.
Dans le cas réalisé nous nous sommes attachés aux exigences de la réhabilitation esthétique du secteur antérieur qui impose de conjuguer les nécessités esthétiques, la biocompatibilité et la durabilité mécanique de nos restaurations5.
Le choix d’une reconstitution adhésive (tenons fibrés + STELA™ Automix) a permis de préserver un maximum de structure dentaire saine.
L’une des difficultés des reconstitutions corono-radiculaires reste l’accès limité de la lumière dans les canaux et les zones profondes de nos restaurations.
Notre choix s’est porté sur le nouveau composite autopolymérisant par contact garantissant un degré de conversion optimal. La prise démarrant depuis l’interface ce nouveau matériau garantit une polymérisation en profondeur offrant une interface adhésive adéquate sans perte d’étanchéité 6 7.
Cette caractéristique produit des propriétés mécaniques élevées8 et réduit le risque de polymérisation incomplète, source de fragilité mécanique et d’infiltration.

Fig. 15 : situation finale.
Ce cas clinique met en évidence l’intérêt d’un nouveau protocole adhésif moderne pour la réhabilitation du secteur antérieur.
La combinaison de tenons fibrés + Stela assure une reconstitution corono-radiculaire fiable.
La chimie basée sur le 10-MDP garantit une adhésion stable aux substrats dentinaires et aux restaurations céramiques9.
Le système autopolymérisant par contact réduit la sensibilité opératoire et sécurise la polymérisation même en profondeur. Il permet de combiner un protocole simple et efficace qui procure un matériau solide avec de bonnes performances mécaniques et cliniques10. Stela est considéré de ce point de vue comme un développement prometteur dans le domaine de la dentisterie adhésive.
Le protocole est grandement simplifié avec Stela, le collage des tenons et la reconstitution des moignons se font avec le même matériau.
Cette méthode mérite une évaluation clinique à plus long terme vu les bénéfices immédiats qu’elle procure.
Références bibliographiques
1 Ability of a novel primer to enhance the polymerization of a self-cured resin composite Juliana Anany Gonzales Guarneri et al., Dental Materials, https://doi.org/10.1016/j.dental.2024.10.013
2 The ferrule effect: a literature review. Stankiewicz NR, Wilson PR. International Endodontic Journal, 35, 575-581, 2002.
3 Air Particle Abrasion in Dentistry: An Overview of Effects on Dentin Adhesion and Bond Strength. Kui, A. Buduru, S. Labunet, , A. Sava, S. Pop, D. Bara, I. Negucioiu, M. Dent. J. 2025, 13, 16. https://doi.org/10.3390/dj13010016
4 Effect of Different Silane Coupling Agents on the Bond Strength between Hydrogen Peroxide-Etched Epoxy-Based- Fiber-Reinforced Post and Composite Resin Core. Adwani, S. Elsubeihi, E. Zebari, A. Aljanahi, M. Moharamzadeh, K. Elbishari, H. Dent. J. 2023, 11, 142. https://doi.org/10.3390/dj11060142
5 Magne P., Belser U. C. Bonded Porcelain Restorations in the Anterior Dentition: A Biomimetic Approach. Quintessence Publishing Co.; 1 édition (May 1, 2002). ISBN 978-0-86715-422-1.
6 Bonding performance and interfacial adaptation of modern bulk‑fill restorative composites after aging in artificial saliva: an in vitro study. Paula Maciel Pires · Aline de Almeida Neves · Monika Lukomska‑Szymanska · Paul Farrar · Álvaro Ferrando Cascales · Salvatore Sauro, Clinical Oral Investigations (2024) 28:132. https://doi.org/10.1007/s00784-024-05525-5
7 Bonding Performance and Interfacial Ultra-Morphology/Nanoleakage of a Modern Self-Curing Bulk-Fill Restorative System: An In Vitro Study. Paula Maciel Pires; Aline Almeida Neves; Paul Farrar; Álvaro Ferrando Cascales; Avijit Banerjee; Victor Pinheiro Feitosa; Salvatore Sauro
8 Laporte, C. Bourgi, R. Jmal, H. Ben Ammar, T. Hazko, S. Addiego, F. Sauro, S. Haïkel, Y.Kharouf, N. Mechanical, Antibacterial, and Physico-Chemical Properties of Three Different Polymer-Based Direct Restorative Materials : An In Vitro Study. Polymers 2025, 17, 1272. https://doi.org/10.3390/polym17091272
9 Martos R, et al. (2022). Comparative Analysis of Bond Strength Durability of 10-MDP-containing adhesives on a Low-Viscosity Bulk-Fill Composite Surface, J Adhes Dent. 2022 Nov 28;24:b3608775. doi: 10.3290/j.jad.b3608775
10 Laporte, C. Bourgi, R. Jmal, H. Ben Ammar, T. Hazko, S. Addiego, F. Sauro, S. Haïkel, Y. Kharouf, N. Mechanical, Antibacterial, and Physico-Chemical Properties of Three Different Polymer-Based Direct Restorative Materials : An In Vitro Study. Polymers 2025, 17, 1272. https://doi.org/10.3390/polym17091272
Cet article a été rédigé par le Dr Mohammed Saad El Hachemi.


















