Les cancers de la cavité buccale et leurs traitements – Généralités et rappels
Pathologie Par Stéphane SIMART le 27-10-2025Les cancers de la cavité buccale sont indissociables des cancers ORL. Ils entrent dans le cadre des cancers des Voies Aériennes Digestives Supérieures (VADS).
Leurs points communs est leur histologie (carcinomes épidermoides à 90%) et leur étiologie (double intoxication alcoolo-tabagique à 80% suivie par la dégénérescence des lésions précancéreuses).
Fig. 01 : cancer du plancher buccal antérieur avec extension à la gencive et à la mandibule.
Il est important de sensibiliser les chirurgiens-dentistes à leur rôle et leur responsabilité dans le dépistage des cancers de la cavité buccale. La France a un triste record (3è rang mondial) du fait d’une forte consommation d’alcool, avec environ 9 000 décès par an. Le pronostic de cette maladie est encore bien sombre : 30% de survie en 5 ans et 5 à 10% de survie sur 10 ans.
Les hommes de 50 à 70 ans sont les plus nombreux, bien que l’on puisse constater depuis quelques années un rajeunissement et une féminisation de la population atteinte.
Fig. 02 : cancer invasif de la voûte palatine.
Fig. 03 : tumeur ulcéro-bourgeonnante du bord latéral de la langue.
Ces lésions tumorales graves pourraient être maîtrisées par des mesures préventives faisant chuter le nombre d’atteintes, et par un dépistage précoce diminuant le nombre de décès.
Le chirurgien-dentiste a une situation privilégiée pour les raisons suivantes :
• Il est le spécialiste qui examine des bouches tous les jours.
• L’examen annuel de la cavité buccale est en principe systématique pour toute la population.
• La cavité buccale est un lieu facile d’accès et son examen en est aisé, rendant le dépistage précoce possible.
• Les tumeurs sont en général bien visibles et palpables.
• L’étiologie étant à 80% une intoxication alcool-tabac dans un contexte bucco-dentaire médiocre, la population à risque est simple à cibler.
Fig. 04 : leucoplasie qui a dégénéré en cancer
Fig. 05 : lichen sur la face interne de la joue.
Définitions
Le cancer
Une tumeur cancéreuse est une prolifération excessive de cellules anormales échappant aux contraintes fixées par l’homéostasie. L’homéostasie permet la régulation de la multiplication cellulaire. La perte d’homéostasie laisse apparaître une tumeur. Ce processus en l’absence de traitement aboutit à la mort du malade.
La cavité buccale
Selon la classification de l’Organisation Mondiale de la Santé (OMS), la cavité buccale est composée de :
• Une muqueuse buccale recouvrant les lèvres, les faces internes des joues, la commissure intermaxillaire, la Muqueuse de Recouvrement de la Branche montante du maxillaire Inférieur (RBMI), le vestibule buccal et le palais osseux.
• Du rebord alvéolaire supérieur, inférieur et de la gencive.
• De la langue mobile (jusqu’au V lingual) avec sa face supérieure ou dorsale, ses bords latéraux, sa face inférieure ou ventrale.
• Du plancher buccal antérieur et latéral.
Étiologie
Le tabagisme chronique associé à l’alcoolisme sont les facteurs étiologiques essentiels, touchant en général une population socio-économiquement défavorisée. Cette double intoxication alcool-tabac s’accompagne souvent d’un état bucco-dentaire médiocre et négligé.
Le tabac étant le facteur d’initiation et l’alcool le facteur de promotion.
On évalue cette intoxication en « paquet/année » et en degré d’alcool journalier ingéré :
• 10 paquets/année : 1 paquet de cigarettes par jour pendant 10 ans
• 40 paquets/année : 1 paquet de cigarettes par jour pendant 40 ans
• 2 paquets de cigarettes par jour pendant 20 ans
• 4 paquets de cigarettes par jour pendant 20 ans
L’association des deux ne s’additionne pas, mais multiplie les risques. On a donc une véritable potentialisation des effets.
Fig. 06 : lésion ulcérante de la lèvre inférieure.
À côté de ces facteurs, on a également les lésions précancéreuses qui dégénèrent, tel que les leucoplasies, les lichens, les érythroplasies.
Diagnostic
Examen clinique
Plus de 90 % des cancers de la cavité buccale sont des carcinomes épidermoïdes, ou encore appelés épithélomas spinocellulaires. Ils se développent aux dépens de l’épithélium de la muqueuse buccale à partir d’une cellule « épineuse ».
L’examen clinique se fera à l’aide d’un bon éclairage. Il sera basé sur l’inspection minutieuse de la cavité buccale, déplissant tous les plis et la recherche d’une seconde localisation, et sur la palpation de la tumeur, de sa périphérie et des chaînes ganglionnaires. Cet examen définira la classification TNM et la forme clinique.
Fig. 07 : lésion bourgeonnante du bord latéral de la langue.
Fig. 08 : forme fissuraire, sillon glosso-amygdalien.
Fig. 09 : forme nodulaire, Sarcome de Kaposi (HIV).
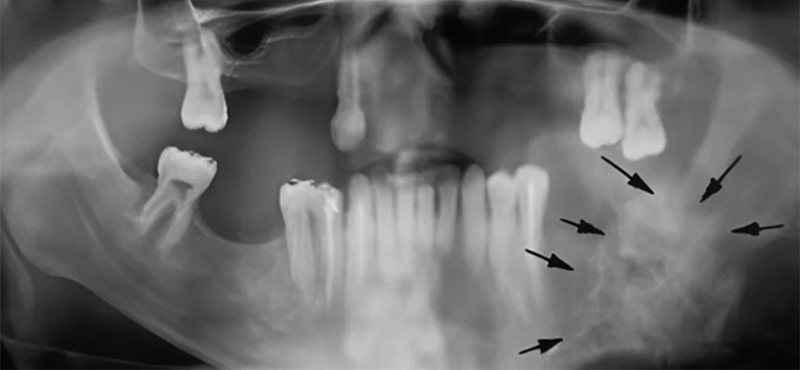
Fig. 10 : ostéosarcome mandibulaire. Tumeur ossifiante.
La classification TNM internationale spécifique des cancers des VADS permet une évaluation de l’atteinte tumorale en fonction de 3 critères : taille de la tumeur, adénopathie (node) et métastases.
Ces critères permettront d’adapter un traitement approprié et d’apprécier un facteur « pronostic ».
Taille de la Tumeur (T) :
• T1 : tumeur dont le grand axe est inférieur à 2 cm.
• T2 : tumeur dont le grand axe est compris entre 2 et 4 cm.
• T3 : tumeur dont le grand axe est supérieur à 4 cm.
• T4 : tumeur étendue à l’os, aux plans cutanés, aux muscles de la langue. Envahissement d’une structure anatomique voisine à la tumeur initiale.
• Tx : tumeur dont l’extension n’est pas précisable.
Extension ganglionnaire (N) :
• N0 : absence de ganglion.
• N1 : adénopathie unique, homolatéral ≤ 3 cm.
• N2a : adénopathie unique, homolatéral > 3 cm et £ 6 cm.
• N2b : adénopathies multiples, homolatérales > 3 cm et £ 6 cm.
• N2c : adénopathies bilatérales ou controlatérales £ 6 cm.
• N3 : adénopathie(s) > 6 cm.
• Nx : extension imprécisable.
• R+ : rupture capsulaire.
• R – : sans rupture capsulaire.
Métastases (M) :
• M0 : pas de métastase.
• M+ : métastases.
L’examen histologique (anatomo pathologie) est le seul examen qui confirme le diagnostic de cancer. Il permettra de préciser si la tumeur est différenciée (cellules tumorales différentes des cellules souches) ou indifférenciée, kératinisante ou non kératisante.
Cet examen décrit, en plus du nombre anormal de mitoses, les attributs des cellules cancéreuses :
• Augmentation de la taille du noyau.
• Augmentation du rapport Nucléo/Cytoplasmique.
• Anisocaryose sur 10 cellules : la taille des noyaux est différente d’une cellule à l’autre.
• Irrégularité de la densité chromatine.
• Augmentation du nombre et taille des nucléoles.
Les examens complémentaires permettent d’apprécier les extensions, les secondes localisations et les métastases. En plus des examens sanguins et cardiovasculaires, on pratiquera :
• Pan endoscopie : investigation des voies aéro digestives supérieures.
• Fibroscopie gastrique.
• Fibroscopie pulmonaire : malades gros fumeurs.
• Cliché pulmonaire : chaîne ganglionnaire médiastinale.
• Radio panoramique : bilan bucco dentaire et osseux.
• Scanner : appréciation des atteintes des structures osseuses.
• IRM : appréciation des atteintes des structures molles.
• Bilan hépatique : patients alcooliques.
• Bilan rénal.
La première publication date de 2002.
Deux autres articles du Dr Stéphane Simart sur les cancers de la cavité buccale sont à retrouver sur Dentalespace :
• Les différents types de cancers de la cavité buccale
• Les traitements des cancers de la cavité buccale


















