Réhabilitation bi-maxillaire et mise en charge immédiate, chirurgie guidée INTEGRAL
Implantologie esthétique Par Frédéric CHAMIEH, Ahmed RABIEY le 21-11-2022Cas clinique de chirurgie guidée réalisé par les Drs Frédéric Chamieh et Ahmed Rabiey sur un patient atteint d’une parodontite terminale, avec la totalité des dents non conservables. Les édentements n’ayant pas été compensés depuis plusieurs années, des migrations des dents entraînant une anarchie au niveau de la dimension verticale d’occlusion sont présentes.
La planification implantaire
En premier lieu, le patient réalise un bilan phosphocalcique afin de s’assurer qu’il n’existe pas de facteurs confondants environnementaux. Il est ensuite décidé de mettre en place une réhabilitation bi-maxillaire en mise en charge immédiate avec 6 implants maxillaires et 6 implants mandibulaires.
Sur ce type de cas, il est compliqué de réaliser le projet prothétique pour déterminer le futur sourire du patient, car il n’y a plus aucune référence occlusale ni esthétique. Grâce aux face-scans, à l’enregistrement de la cinématique mandibulaire, à l’enregistrement des données anatomiques et au le cône Beam, le praticien peut créer l’avatar du patient. Les praticiens optent pour des protocoles de mises en charge guidées afin que le projet prothétique et le positionnement des implants soient identiques à la prévisualisation sur ordinateur.
Le principal challenge du Dr Ahmed Rabiey pour traiter ce patient est de déterminer quel est le rapport intermaxillaire reproductible. En le confrontant à l’esthétique, il peut ensuite réaliser le montage, le wax-up et la simulation virtuelle du sourire.
Le flux de travail utilisé par les deux chirurgiens-dentistes est entièrement numérique et a pour but de faciliter la mise en charge immédiate comme la prothèse d’usage. C’est tout le bénéfice des guides à étages ! Une fois que le guide de base est positionné, cela permet de positionner la prothèse provisoire à la dimension verticale et au niveau tridimensionnel, comme planifié.
La trousse de chirurgie guidée
Les forets auto-guidants représentent l’un des principaux avantages de la trousse de chirurgie guidée INTEGRAL. D’un point de vue chirurgical, cela permet de ne pas utiliser de cuillères et d’augmenter la précision afin que la mise en place de l’implant puisse se faire de façon totalement guidée. De plus, la trousse INTEGRAL proposée par Anthogyr est ergonomique grâce à l’utilisation de codes couleurs formant des chemins fléchés intéressants pour les chirurgiens novices, comme pour les plus expérimentés.


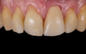
Fig. 01 : cicatrisation des tissus suite au provisoire.
Fig. 02 : conception numérique de la prothèse d’usage.

Fig. 03 : essayage du prototype imprimé.




Fig. 04 : réalisation de la prothèse d’usage barre titane + dents montées en résine usinée.



Fig. 05 : prothèse d’usage en place.
Remerciements à :
– Dr Ahmed Rabiey pour le cas global/réhabilitation prothétique
– Dr Frédéric Chamieh pour la chirurgie
– Nathan Carrasqueira, prothésiste du Laboratoire Chasles, pour la prothèse
– L’ensemble de l’équipe du Cabinet Chasles pour son implication lors du tournage.
Cet article et cette vidéo vous sont proposés par Anthogyr.

















