Accueil >
Se former
> Formation continue >

Les différents types de cancers de la cavité buccale

Pathologie Par Stéphane SIMART le 01-12-2025

Cet article fait suite à la première partie « Cancers de la cavité buccale et leurs traitements – Généralités et rappels » réalisée par le Dr Stéphane Simart.

 

Cancer de la lèvre

Le cancer de la lèvre représente 10 à 20 % des tumeurs de la cavité buccale. Il est caractérisé par le chiffre 90 % :
• Anatomiquement : la tumeur siège à 90 % sur la lèvre inférieure.
• Histologiquement : 90 % des formes sont des carcinomes épidermoïdes.
• Sexe : dans 90 % des cas le malade atteint est un homme.
• Thérapeutique : 90 % des patients peuvent bénéficier d’une curiethérapie.
• Pour les T1, T2, on a un taux de 90 % de guérison en 5 ans.

 

Fig. 01 : tumeur ulcéro-bourgeonnante de la lèvre inférieure.

 

Anatomie et anatomie pathologique

La lèvre est constituée de 3 parties :
Lèvre cutanée (étudiée avec les cancers de la peau).
Lèvre muqueuse sèche.
Lèvre muqueuse humide.
Dans l’épaisseur de la lèvre, on a le muscle orbiculaire, périorificiel (faisant un cercle) expliquant le mode d’extension d’une tumeur labiale.

 

Sur le plan histologique, les « 3 lèvres » sont formées d’un même tissu malpighien, la seule différence entre les 3 faces est seulement l’épaisseur de la couche cornée. Elles présentent toutes le même cancer. Le drainage lymphatique se fait vers les ganglions sous-mentaux, sous-maxillaires et sous digastriques (ganglion de Kutner).

 

Anatomie pathologique : dans 90 % des cas, ce sont des carcinomes épidermoïdes. Les 10 % restants sont des baso-cellulaires, sarcomes, cylindromes et mélanomes. Il faut rappeler la fréquence des états précancéreux à type de chéilite abrasive, d’hyperkératose, de maladie de Bowen, de kérato-acanthome.

 

La lèvre étant à cheval entre la peau et la cavité, elle présente un double risque. Les facteurs favorisants sont le soleil, le tabac, la mauvaise hygiène bucco dentaire, les lésions précancéreuses.
Une étude épidémiologique a montré que l’ouvrier agricole est la profession la plus représentée, réunissant le plus grand nombre de facteurs favorisants.

 

Clinique

La lèvre est un organe visible et palpable en totalité. Cependant, un examen minutieux de la lèvre atteinte, de l’autre lèvre, des régions commissurales et du muscle orbiculaire est indispensable.
À l’examen clinique, on observe, en général, un homme de 65 ans environ avec un terrain médiocre.

On précisera :
Le siège de la tumeur : lèvre cutanée, muqueuse sèche, humide, envahissement commissural. L’atteinte de la muqueuse humide fait croître le risque de métastases ganglionnaires.
La forme de la tumeur : on retrouve les 3 formes cliniques classiques (ulcérante, ulcéro-bourgeonnante, infiltrante).
L’existence de lésions associées : lésions précancéreuses.

 

Extension (surtout loco-régionale) :
• Muscles labiaux.
• Lèvre inférieure vers nerf dentaire inférieur entraînant une paresthésie, paralysie ou névralgie.
• Carcinose cervico faciale (nodule de perméation) gravissime.

 

Adénopathies : souvent tardives, lymphophilie sous mentale, sous maxillaire et sous digastrique. Adénopathies bilatérales lorsque la tumeur atteint la ligne médiane.

 

Cancer du plancher buccal

Le cancer du plancher buccal représente 15 à 20 % des cancers de la cavité buccale.

 

Anatomie et anatomie pathologique

Muqueuse recouvrant le plan musculaire :
Latéralement : muscles mylo-hyoïdiens, en éventail peu épais.
Au centre : de part et d’autre, on a les génio-hyoidiens sphériques et les génio-glosses allant vers la base de la langue.
L’ensemble de ces muscles permet l’amarrage antérieur de la langue.
On a également, latéralement, entre les glandes sublinguales, les 2 glandes sous maxillaires qui ne sont pas dans le plancher, mais en dessous.

Anatomie pathologie : dans 90 % des cas, ce sont des carcinomes épidermoïdes. Les facteurs étiologiques sont essentiellement le tabac et l’alcool.

 

Fig. 02 : tumeur du plancher antérieur gauche.

 

Clinique

La tumeur :
Latence clinique importante.
Forme ulcérée en « feuillets de livre ». Importance de bien déplier les muqueuses lors de l’examen et d’écarter la langue.
Diagnostic différentiel : grenouillette, lithiase de Wharton, tumeur sub-linguale.

 

Extension (la forme des muscles explique les modes d’extension) :
• Pelvi linguale en dedans
• Pelvi mandibulaire en dehors
• Sous mental, sous maxillaire en profondeur

 

Adénopathies : grande lymphophilie. Fréquentes. Dans 70 % des cas, on a un envahissement et un ganglion palpable au 1er examen.
Ganglions sous mental, sous maxillaire, jugulo carotidien.
On a souvent d’emblée une adénopathie bilatérale pour une tumeur du plancher antérieur.

 

Cancer de la langue

On distingue les cancers de la « langue mobile » des cancers de la « base de langue ». Ils représentent 30 % des cancers de la cavité buccale.

 

Fig. 03 : tumeur bourgeonnante du bord latéral gauche de la langue.

 

Rappels anatomo physiologiques

La langue est un ensemble de muscles, avec une musculature intrinsèque. On a une partie « mobile » en avant du V lingual et une portion fixe appelée « base » de langue : ces deux parties jouent un rôle fondamental dans la déglutition et la phonation.
La portion mobile a une face ventrale et une face dorsale :
Sur la face ventrale : muqueuse très fine et l’insertion de frein lingual sur la ligne médiane.
Sur la face dorsale : aspect rugueux avec des papilles filiformes qui ont un rôle tactile et des papilles fongiformes ayant un rôle gustatif. Ces papilles distinguent 4 goûts : sucré, salé, acide, amer.

 

La musculature extrinsèque est composée des génioglosses amarrant la langue sur la face interne de la mandibule, de l’hypoglosse s’attachant à l’os hyoïde, tirant la base de langue vers l’arrière, le styloglosse s’insérant sur l’apophyse styloïde tirant l’organe vers l’arrière et le haut.
Les muscles intrinsèques restent dans la langue, lui permettant de s’étaler et de rouler.

 

Fig. 04 : tumeur du dos de la langue.

 

Clinique

Dans 90% des cas, il s’agit à 90 % de carcinomes épidermoïdes dans un contexte alcoolo-tabagique avec la répartition suivante : 70 % pour la langue « mobile », pour 30 % de « base » de langue.
Au moment du diagnostic, l’exploration clinique est facile et on observe une latence fonctionnelle importante. Le plus souvent, on retrouve une forme ulcéreuse ou ulcéro-bourgeonnante.

 

Cancer de la langue « mobile » :
• Diagnostic relativement aisé.
• Latence fonctionnelle importante avec délai de consultation environ 4 mois.
• Majorité d’hommes.

Forme ulcérause :
• Forme la plus fréquente.
• A grand axe antéropostérieur.
• Repose sur une base indurée.
• Bords irréguliers, surélevés.

Forme bourgeonnante :
• Plus rare.
• Friable, hémorragique.
• Démuni de muqueuse qui est détruite.

Forme fissuraire en crevasse.

 

Extension (les cellules tumorales suivent le trajet des fibres musculaires) :
• En dedans vers la ligne médiane.
• En arrière vers la base de langue et la région amygdalienne.
• En dedans vers le plancher.

 

Adénopathies : fréquentes dès le diagnostic, surtout vers le ganglion sous digastrique. La face dorsale et le franchissement de la ligne médiane donnent rapidement des adénopathies bilatérales.

 

Cancer de la « base » de langue :
• Latence fonctionnelle.
• Inspection difficile. La palpation est importante.
• Survie globale à 5 ans : 12 %. Très mauvais pronostic.

 

Extension : antérieure le long des muscles génio-hyoidiens, difficile à apprécier cliniquement, nécessitant un examen IRM.

 

Adénopathies fréquentes à 60 % : sous digastrique, sus omo-hyoïdien, jugulo-carotidien.

 

Cancer de la face interne de la joue

 

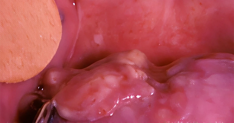
Fig. 05 : région rétro-molaire gauche.

 

Rappels anatomo physiologiques

La face interne de la joue est la zone muqueuse qui délimite les extrémités postérieures des rebords alvéolaires supérieur et inférieur. Elle sépare la joue de l’oropharynx. Cette situation en « carrefour » explique ses nombreuses et rapides extensions.

 

Clinique

Diagnostic :
• Manifestations cliniques bruyantes : gêne, douleurs (proximité des nerfs lingaux et buccaux) importantes.
• Trismus.

Extension :
• En surface : muqueuse du voile, piliers, joues.
• Profondeur : vers le buccinateur et la mandibule.

Adénopathies : fréquentes sous maxillaires, parotidiennes, jugulo- carotidiennes.

 

Cancer du voile du palais

Le cancer du voile du palais représente 15 % des cancers de l’oropharynx.

 

Fig. 06 : tumeur bourgeonnante avec zone de nécrose.

 

Rappels anatomo physiologiques

Le voile du palais est une structure musculaire et muqueuse formant une cloison, isolant la cavité buccale, du rhinopharynx, lors de la déglutition et de la phonation.
Ces muscles sont :
Péristaphylin interne : élévateur du voile.
Péristaphylin externe : tenseur du voile.
Palato staphylin ou Azygos : mouvement de la luette. Réduit le diamètre de l’isthme de l’oropharynx permettant l’ascension de la base de la langue et une baisse du voile.
Pharyngo staphylin : pilier postérieur de la loge amydalienne.

 

Fig. 07 : tumeur du voile avec perforation musculo-muqueuse.

 

Cancer de la loge amygdalienne

 

Rappels anatomo physiologiques

La loge amygdalienne est un tissu lymphoïde offrant peu de résistance à l’extension tumorale. Délimitée en avant par un pilier antérieur, en arrière par un pilier postérieur. Ces 2 piliers venant se rejoindre en haut pour former le voile ; en bas la limite inférieure est le sillon amygdalo glosse.
Le tissu lymphoïde n’existe pas qu’au niveau des amygdales mais se retrouve également au niveau de la langue et du cavum.

Anatomie pathologie : carcinomes épidermoïdes.

 

Clinique

Diagnostic : latence fonctionnelle, otalgies, inspection parfois difficile d’où l’importance de la palpation.
2 formes :
• Amygdale palatine proprement dite : tissu lymphoïde, lymphophile et radiosensibilité importante.
• Amygdale palatine à départ muqueux.
3 sites :
• Pilier antérieur,
• Pilier postérieur,
• Sillon amygdalo-glosse.

Extension :
• En surface : pilier, voile, sillon amygdalo-glosse.
• En profondeur : muscles. Base du crâne.

Adénopathies : fréquentes à 70 % environ lors du diagnostic, souvent bilatérales, survie globale en 5 ans : 25 %.

 

Cancer de la commisure inter-maxillaire : région rétro-molaire

Les cancers de la commissure inter-maxillaire représente 25 % des cancers de la cavité buccale.

 

Fig. 08 : cancer de la gencive inter-incisif.

 

Tumeurs des glandes salivaires : tumeur de la parotide

 

Rappels anatomo physiologiques

Il s’agit d’un « nodule » centré ou en bordure de la glande parotidienne. Indolore, très mobile. Tumeur bosselée ou régulière. Seule l’exérèse en un temps et sa biopsie peuvent affirmer le caractère malin de la tumeur.

Anatomo pathologie (3 formes) :
• Carcinome muco épidermoide.
• Epithélioma adénoïde Kystique (cylindrome) évolue lentement, le pronostic est la récidive et la métastase souvent pulmonaire en est rapide.
• Carcinome : adénocarcinome.

Adénopathies : ganglion pétragien (cuir chevelu).

 

Tumeurs des glandes salivaires accessoires

 

Rappels anatomo physiologiques

Glandes sous maxillaires et les autres glandes disséminées dans la cavité buccale.
Adénopathies fréquentes. La tumeur sera un « nodule » lisse ou irrégulier faisant croire à un abcès sous périosté d’origine dentaire.

Anatomie : limite supérieure de la cavité buccale, composée des os maxillaires et palatins, délimitant la cavité buccale du rhinopharynx. Ce palais osseux est recouvert d’un périoste et d’une muqueuse adhérante kératinisée. Dans cette épaisseur, il y a des glandes salivaires accessoires.

Anatomie pathologie :
• Variétés histologiques : carcinomes épidermoïdes.
• Tumeurs des GSA : Adénocarcinomes, carcinomes adénoïdes kystiques.

 

Clinique

Diagnostic :
• Latence fonctionnelle
• Exploration clinique facile.

Extension : Infrastructure maxillaire (fosses nasales et sinus maxillaires).

Adénopathies : rares.

 


 

Cet article vous est proposé par le Dr Stéphane Simart.
La première publication date de 2002.

FavoriteLoadingAjouter aux favoris Partager à un ami
Partager

Envoyer un commentaire