Technique du tunnel tracté coronairement pour le traitement des récessions multiples maxillaires
Parodontologie Par Romain OHANESSIAN le 24-11-2025Dans la suite de l’article précédent « Technique de l’enveloppe – Traitement des récessions unitaires maxillaires », les récessions multiples maxillaires peuvent être traitées par la technique du tunnel tracté coronairement.
Pour rappel, en présence de récessions multiples, la technique de choix pour obtenir un recouvrement radiculaire est un lambeau tracté coronairement avec l’ajout d’un greffon conjonctif. De nombreuses techniques ont été décrites dans la littérature ce qui peut être complexes à choisir pour le praticien. L’analyse clinique reposant sur une analyse parodontale (phénotype parodontal, hauteur de récession, forme des papilles, hauteur et épaisseur de tissu kératinisé) et dentaire (présence ou non de lésion cervicale non carieuse) est une étape clé pour obtenir un recouvrement complet et un résultat esthétique satisfaisant.
La technique du tunnel tracté coronairement
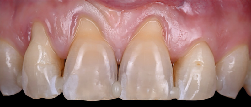
Une patiente de 55 ans se présente à la consultation pour une gêne esthétique et des hypersensibilités dentinaires (HD) localisées au secteur antérieur maxillaire. Cette douleur aiguë et brève s’est accentuée avec le temps. Elle ne présente aucun antécédent médical, n’est pas fumeuse et n’a pas d’allergie.
Lors de l’interrogatoire, la patiente décrit des sensibilités au froid et au brossage qui se sont accentués avec le temps et a peur de perdre ses dents car elle trouve que ses gencives se rétractent.

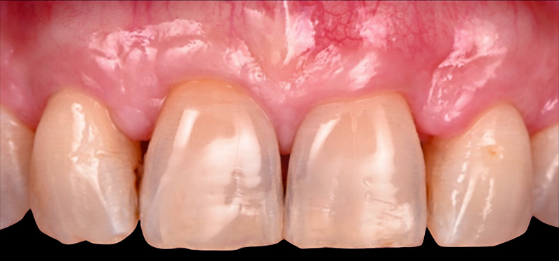
Fig. 01 : situation clinique initiale.
À l’examen clinique intra-oral, on note un parodonte épais et festonné, selon Zweers et al. (2014)(1), des hauteurs de tissu kératinisé physiologiques, selon Müller & Eger (1997)(2) et un frein à insertion haute et des papilles larges.
Lors du bilan parodontal, on note des pertes d’attache interproximales et des récessions gingivales de type RT2 sur 12, 11, 21 et 22 selon Cairo et al. (2014)(3). L’indice de plaque et le score de saignement sont compatibles avec la santé parodontale. Le diagnostic parodontal est une gencive saine sur parodonte réduit avec antécédent de parodontite selon Cortellini et Bissada (2018)(4). Lors du bilan dentaire, on note des lésions cervicales non carieuses sur les dents 12, 11 et 21.
Après un relevé de l’ensemble des données cliniques, la planification de la technique chirurgicale se fait en amont de la chirurgie plastique parodontale.
D’après les données de la littérature, la technique de référence pour le traitement des récessions gingivales est le lambeau positionné coronairement, sans incision de décharge verticale, avec ou sans ajout d’une greffe de tissu conjonctif. Plusieurs techniques de lambeaux tractés coronairement ont été proposés pour le recouvrement de récessions multiples. Aujourd’hui, deux approches sont à privilégier : le lambeau positionné coronairement avec rotation papillaire, décrit par Zucchelli et De Sanctis (2000)(5), et le lambeau tunnelisé modifié, introduit par Azzi et Étienne, selon Zuhr et al. (2007)(6).
Dans ce cas clinique précis, le choix de la technique chirurgicale a pris en compte l’homogénéité des récessions, le diagnostic de RT2 et la zone esthétique : la technique de tunnel modifiée et tractée coronairement a été choisie.

Fig. 02 : description du tracé d’incision de tunnel modifié et tracté coronairement.

Fig. 03 : zones de décollement jusqu’à la ligne muco-gingivale et zones de dissection au-delà de la ligne muco-gingivale.
Après une étape de désinfection pré-opératoire exo- et endo-buccale à l’aide d’une solution de povidone iodée, une anesthésie locale est réalisée de 13 à 23 traçante.
La surface radiculaire exposée est traitée par surfaçage et polissage minutieux afin de rendre les surfaces biocompatibles et favoriser un environnement pouvant accueillir le tissu mou.
La préparation du site receveur débute par un surfaçage radiculaire de 13 à 23.

Fig. 04 : Incisions intra-sulculaires à l’aide d’une lame MJK® BW002.
Réalisation des incisions intra-sulculaires de 13 à 23 à l’aide d’une instrumentation micro-chirurgicale MJK BW002®.
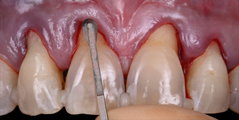
Afin de tracter le maximum de tissu kératinisé apical à la récession, un décollement autour des récessions est réalisé jusqu’à la ligne muco-gingivale à l’aide de micro-décolleur Deppeler®.

Fig. 05 : décollement jusqu’à la ligne muco-gingivale à l’aide de micro-décolleur Depeller®.
Une dissection en épaisseur partielle superficielle est réalisée au-delà de la ligne muco-gingivale apicalement et latéralement aux récessions. Afin de limiter le traumatisme tissulaire et le risque de perforation, Zuhr et al. (2007)(6) conseille l’utilisation de lames de micro-chirurgie, utilisée ici. L’objectif est d’obtenir un lambeau mobile afin d’assurer sa traction et permettre une bonne vascularisation du greffon conjonctif.

Fig. 06 : dissection au-delà de la ligne muco-gingivale à l’aide de micro lame MJK spoon blades®.

Fig. 07 : visibilité de lame spoon blades® en transparence dans le lambeau.
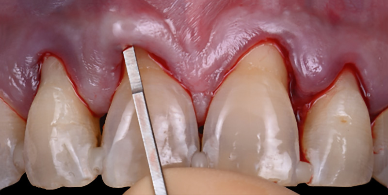
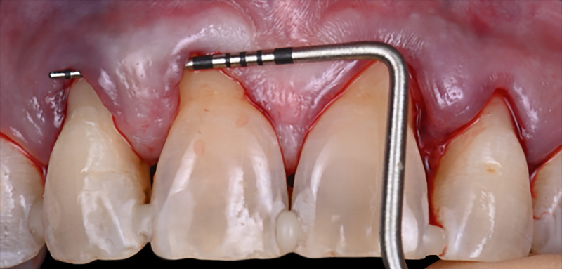
La vérification de la laxité du lambeau est une étape clé afin d’assurer une traction coronaire satisfaisante pour le recouvrement radiculaire.

Fig. 08 : vérification de la laxité du lambeau à l’aide d’une sonde parodontale.
La mesure du futur greffon est calibrée à l’aide d’une sonde parodontale sur le site receveur et reporté au palais. Une technique de prélèvement épithélio-conjonctif est réalisée à l’aide d’une lame 15.
Le choix de cette technique de prélèvement a été orienté par la présence de lésion cervicale non carieuse avec marche de + de 0,5mm selon Pini-Prato et al. (2010)(7). Le prélèvement épithélio-conjonctif permet de mieux gérer l’épaisseur du greffon et sa constitution. En effet, il a été démontré qu’un greffon essentiellement constitué de lamina propria permet un gain statistiquement significatif d’épaisseur de tissu à long terme selon Migliorati et al. (2015)(8).
Le greffon épithélio-conjonctif est ensuite désépithélialisé sur table à l’aide d’une lame 15 neuve.
Les sutures du palais sont réalisées à l’aide de fil 4/0 vicryl Neohm® après la mise en place d’un pansement hémostatique Surgicel®.
Une plaque de protection palatine est réalisée en méthode directe au fauteuil Elemental®.

Fig. 09 : vue occlusale de l’arcade maxillaire décrivant la protection du palais à l’aide d’une plaque palatine réalisée en méthode directe Elemental®.
Le greffon est inséré dans le tunnel créé et attaché en mésial et en distal par des sutures type Blair Donati à l’aide de fil 6/0 monofilament Neohm®.

Fig. 10 : sutures du greffon et du lambeau à l’aide de fil 6/0 et 5/0 prolène Neohm®.
Le lambeau est ensuite stabilisé à l’aide de sutures double-crossed décrites par Zuhr et al. (2007)(6) suspendus sur des composites inter-proximaux coronaires ne gênant pas l’occlusion du patient. L’aiguille perfore en premier la base de la papille vestibulaire, et ressort à la base de la papille palatine. L’aiguille est passée en vestibulaire, au-dessus du point de composite. La même procédure est alors répétée en passant par le côté palatin afin de réaliser la deuxième crosse. Le nœud est plaqué en vestibulaire en exerçant une pression douce. L’ajout de 3 sutures supplémentaires suspendues autour des 11, 21 et 22 a été nécessaire pour assurer une traction coronaire efficace et une immobilité du lambeau tracté.
En post-opératoire, une compression du site est réalisée pendant 5 minutes pour limiter d’étendre le caillot sanguin et favoriser une revascularisation plus rapide après intervention. Une gouttière de protection palatine est mise en place pour assurer une protection du palatin durant toute la phase de cicatrisation.

Fig. 11 : situation clinique à 10 jours post-opératoire avant dépose des sutures.
À 10 jours, les sutures sont déposées. Les résultats à 1 mois sont satisfaisants. On note une légère souffrance tissulaire de la papille 21-22. Le recouvrement radiculaire est complet.

Fig. 12 : situation clinique à 1 mois post-opératoire.
Les résultats à 6 mois sont très satisfaisants. Les tissus se sont lissés et un recouvrement radiculaire de 100% a été obtenu.

Fig. 13 : situation clinique à 6 mois post-opératoire.
Conclusion
Comme décrit dans la littérature, un recouvrement radiculaire complet a été obtenu selon Chambrone et al. (2019)(9). La patiente est très satisfaite sur le plan esthétique et fonctionnel. Elle ne décrit plus aucune hypersensibilité dentinaire selon Antezack et al. (2022)(10).
Une analyse clinique approfondie est nécessaire, prenant en considération la qualité des papilles interdentaires, le phénotype parodontal, le diagnostic des récessions ainsi que la quantité de tissu kératinisé, tant en hauteur qu’en épaisseur. Il est évident que l’expérience du praticien, de même que ses préférences, influencent le choix des techniques chirurgicales de recouvrement radiculaire, à condition que celles-ci soient conformes aux concepts actuels de la chirurgie plastique parodontale.
Cet article vous est proposé par le Dr Romain OHANESSIAN.
Vous pouvez voir la vidéo complète sur la technique du tunnel tracté coronairement pour le traitement des récessions multiples maxillaires en cliquant ici.
Références bibliographiques
(1) Zweers J, Thomas RZ, Slot DE, Weisgold AS, Van der Weijden FGA. – Characteristics of periodontal biotype, its dimensions, associations and prevalence: a systematic review.
J Clin Periodontol. Oct 2014;41(10):958‑71.
(2) Müller HP, Eger T. – Gingival phenotypes in young male adults.
J Clin Periodontol. Jan 1997;24(1):65‑71.
(3) Cairo F, Nieri M, Pagliaro U. – Efficacy of periodontal plastic surgery procedures in the treatment of localized facial gingival recessions. A systematic review.
J Clin Periodontol. Apr 2014 ; 41 Suppl 15:S44-62.
(4) Cortellini P, Bissada NF. – Mucogingival conditions in the natural dentition: Narrative review, case definitions, and diagnostic considerations.
J Clin Periodontol. Jun 2018;45 Suppl 20:S190‑8.
(5) Zucchelli G, De Sanctis M. – Treatment of multiple recession-type defects in patients with esthetic demands.
J Periodontol. Sep 2000;71(9):1506‑14.
(6) Zuhr O, Fickl S, Wachtel H, Bolz W, Hürzeler MB. – Covering of gingival recessions with a modified microsurgical tunnel technique: case report.
Int J Periodontics Restorative Dent. Oct 2007;27(5):457‑63.
(7) Pini-Prato G, Franceschi D, Cairo F, Nieri M, Rotundo R. – Classification of dental surface defects in areas of gingival recession.
J Periodontol. Jun 2010;81(6):885‑90.
(8) Migliorati M, Amorfini L, Signori A, Biavati AS, Benedicenti S. – Clinical and Aesthetic Outcome with Post-Extractive Implants with or without Soft Tissue Augmentation: A 2-Year Randomized Clinical Trial.
Clin Implant Dent Relat Res. Oct 2015;17(5):983‑95.
(9) Chambrone L, de Castro Pinto RCN, Chambrone LA. – The concepts of evidence-based periodontal plastic surgery: Application of the principles of evidence-based dentistry for the treatment of recession-type defects.
Periodontol 2000. Feb 2019;79(1):81‑106.
(10) Antezack A, Ohanessian R, Sadowski C, Faure-Brac M, Brincat A, Etchecopar-Etchart D, et al. – Effectiveness of surgical root coverage on dentin hypersensitivity : A systematic review and meta-analysis.
J Clin Periodontol. Aug 2022 ; 49(8):840‑51.


















