Flux numérique pour la réalisation d’une prothèse provisoire de type All-on-4
Implantologie Par Tomislav VULETIC, Nevena IVANCEVIC, Lucija IVANAC le 03-11-2025Abstract
La technique « All-on-4 » est utilisée depuis des décennies en dentisterie moderne en raison de ses nombreux avantages. Toutefois, les protocoles numériques permettant une fabrication rapide et précise des restaurations provisoires et définitives demeurent un défi important. Aujourd’hui, la technologie numérique nous aide grandement à enregistrer l’occlusion habituelle avec précision et à la reproduire pour une prothèse provisoire portée pendant 4 à 6 mois.
La mise en charge des implants doit idéalement être réalisée dans les 48 heures, mais les flux numériques actuels permettent de réduire le temps de fabrication d’une restauration provisoire à seulement quelques heures. Ce retour rapide de la fonction et de l’esthétique permet non seulement une plus grande satisfaction du patient, mais aussi une meilleure cicatrisation et une mise en place plus aisée de la prothèse sans œdème.
Dans ce cas clinique, nous présentons notre protocole numérique pour la fabrication d’une prothèse provisoire « All-on-4 » au maxillaire supérieur.
Présentation du cas
Un patient de 60 ans se présente pour un examen et une consultation en vue d’une réhabilitation prothétique du maxillaire supérieur. L’examen clinique et une radiographie panoramique révèlent un ancien bridge métal-céramique, des dents avec de profondes poches parodontales, et des caries sur les dents piliers. Plusieurs options thérapeutiques sont proposées. Il opte pour une réhabilitation implantaire par la méthode « All-on-4 ».

Fig. 01 : patient avant la réhabilitation implantaire par la méthode « All-on-4 ».
Nous utilisons des photographies intra et extra-orales, un CBCT, ainsi que des empreintes numériques des deux arcades en occlusion pour l’analyse préopératoire. En l’absence de contre-indications, et après avoir confirmé la qualité et quantité osseuse suffisantes, nous procédons à l’intervention.

Fig. 02 : photographie intraorale préopératoire et radiographie panoramique préopératoire.
Protocole chirurgical et numérique
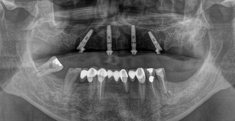
Après le retrait de l’ancien bridge métal-céramique, les dents restantes ont été extraites de manière atraumatique afin de préserver au maximum la paroi vestibulaire de l’os, ce qui est particulièrement important aux emplacements prévus pour la pose des implants. Quatre implants ont été posés immédiatement. Après la mise en place des piliers « multi-unit », une radiographie panoramique de contrôle a été réalisée avant la suture, afin de vérifier la position des implants ainsi que l’adaptation précise des piliers.

Fig. 03 : radiographie panoramique de contrôle a été réalisée avant la suture.
Immédiatement après la suture, des piliers de type « Scan-Transfer » de l’entreprise IPD, ont été placés sur les piliers « Multi-unit » (IPD propose des piliers « multi-unit » pour 25 marques d’implants dentaires et 80 plateformes différentes). Ceux-ci permettent une numérisation précise à l’aide d’un scanner intra-oral, selon un protocole spécifique qui évite toute distorsion de l’empreinte dans les zones édentées.
Le scan post-opératoire du maxillaire supérieur avec les « Scan-Transfers » a été réalisé dans un dossier séparé, indépendamment du scan préopératoire, et les deux ont ensuite été superposés au laboratoire. Le scan a été effectué avec un scanner intra-oral Medit i700, et le matching des empreintes a été réalisé dans le logiciel Exocad en se basant sur les zones fixes du palais et des tubercules du maxillaire.

Fig. 04 : Scan-Transfer de l’entreprise IPD, matching des empreintes réalisé dans le logiciel Exocad.
Dans des cas plus complexes, des repères temporaires additionnels peuvent être ajoutés pour faciliter le matching. Les Scan-Transfers présentent la particularité que le matching s’effectue uniquement sur la partie supérieure de la tête du pilier d’empreinte numérique. La partie inférieure, quant à elle, peut recevoir des éléments destinés à combler les espaces édentés, ce qui facilite le scannage et réduit les risques de distorsion. La vis de fixation du Scan-Transfer, une fois vissée, est exactement au même niveau que le pilier prothétique, elle affleure la tête du pilier de numérisation. C’est un indicateur que le pilier est correctement positionné et qu’aucune déviation n’a eu lieu en raison de la présence d’un obstacle anatomique.

Fig. 05 : Scan-Transfers IPD en place.

Fig. 06 : Image du scan avec les Scan-Transfers IPD en place.
Fabrication et conception prothétique
Une fois la conception réalisée dans le logiciel de CAO, nous procédons à la fabrication de la prothèse « All-on-4 » dans un disque PMMA multicouche fabriqué par la société Whitepeaks. Afin d’assurer la durabilité du travail temporaire, des TiBase titane de la société IPD sont collés dans la structure en PMMA à l’aide d’une résine de base PMMA autopolymérisante.

Fig. 07 : bridge provisoire PMMA et TiBase IPD en titane nitruré.
Nous avons accordé une attention particulière à la conception autour des implants en position antérieure, car il s’agit du « locus minoris resistentiae » de la prothèse temporaire « All-on-4 ». À cet endroit, nous avons épaissi le matériau en vestibulaire et en lingual, en veillant à ne pas compromettre l’esthétique ou la phonation. L’un des avantages de cette technique est l’absence de perte des dents prothétiques, comme cela peut se produire avec les prothèses réalisées de manière classique à base d’acrylique et de dents du commerce.
Un composite “gencive” a été appliqué sur la face vestibulaire afin de reproduire fidèlement les tissus de soutien. Pour faciliter l’hygiène bucco-dentaire par le patient, nous avons conçu un profil convexe de l’intrados de la prothèse temporaire et l’avons soigneusement polie. Aucun matériau de revêtement n’a été appliqué, selon notre expérience, leur durabilité est insuffisante et ils favorisent, avec le temps, la rétention de plaque.

Fig. 08 : bridge provisoire PMMA avec gencive composite sur TiBase IPD et bridge provisoire en place post chirurgie.
Pose et suivi
La prothèse est mise en bouche 4 heures après la chirurgie, avec un ajustement occlusal minimal. Les vis sont serrées à 15 Ncm, puis les accès sont obturés avec du téflon et un ciment verre ionomère photo-polymérisable.
Le patient a reçu toutes les instructions nécessaires pour les soins postopératoires ainsi qu’un rendez-vous de suivi à deux semaines. Les sutures utilisées sont résorbables, mais nous les retirons tout de même lors de la visite de contrôle afin que le patient puisse maintenir plus facilement une hygiène correcte.
Fig. 09 : photo à 6 mois post-opératoire.

Fig. 10 : patient après post-opératoire.
Conclusion
Dans ce cas clinique, nous avons opté pour une approche moderne en adoptant un protocole entièrement numérique pour la réalisation de la prothèse provisoire « All-on-4 ». Cette méthode s’est révélée très pratique, car elle réduit tout d’abord le temps nécessaire au laboratoire pour préparer un modèle à partir d’une empreinte conventionnelle, et elle élimine les erreurs potentielles liées au transfert de l’occlusion à l’aide de bourrelets de cire. La précision de ce protocole numérique permet au patient de recevoir rapidement une prothèse provisoire, rétablissant ainsi la fonction et l’esthétique sans compromettre le succès final de la réhabilitation.
Cet article a été rédigé par les Drs Tomislav VULETIC, Nevena IVANCEVIC et Lucija IVANAC.
Cet article vous est proposé par IPD Dental Group.
Références bibliographiques
(1) D. Soto-Penaloza, R. Zaragozí-Alonso, M. Penarrocha-Diago, M. Penarrocha-Diago – The all-on-four treatment concept : Systematic review.
J Clin Exp Dent. 2017 Mar 1;9(3): e474-e488. Doi: 10.4317/jced.53613. PMID: 28298995; PMCID: PMC5347302.
(2) Taruna, M & Chittaranjan, Samuel & Sudheer, N & Tella, Suchita & Abusaad, Md (2014) – Prosthodontic Perspective to All- On-4 ® Concept for Dental Implants.
Journal of clinical and diagnostic research: JCDR. 8. ZE16-ZE19. 10.7860/JCDR/2014/9648.5020.
(3) A. Baruffaldi, A. Baruffaldi, M. Baruffaldi, C. Maiorana, PP. Poli – A suggested protocol to increase the accuracy of prosthetic phases in case of full-arch model-free fully guided computer-aided implant placement and immediate loading.
Oral Maxillofacial Surg. 2020 Sep; 24(3):343-351. Doi: 10.1007/s10006-020-00849-4. Epub 2020.
(4) M. Beretta, PP. Poli, S. Tansella, M. Aguzzi, A. Meoli, C. Maiorana – Cast-free digital workflow for implant-supported rehabilitation in a completely edentulous patient: A clinical report.
J Prosthet Dent. 2021 Feb;125(2):197-203. Doi: 10.1016/j.prosdent. 2019.12.009. Epub 2020 Feb.
(5) JA Toljanic, K. Ekstrand, RA. Baer, A. Thor – Immediate Loading of Implants in the Edentulous Maxilla with a Fixed Provisional Restoration without Bone Augmentation: A Report on 5-Year Outcomes Data Obtained from a Prospective Clinical Trial.
Int J Oral Maxillofacial Implants. 2016 Sep-Oct;31(5):1164-70. Doi: 10.11607/jomi.4364.
(6) L. Gillot, B. Cannas, J. Buti, R. Noharet – A Retrospective cohort study of 113 patients rehabilitated with immediately loaded maxillary cross-arch fixed dental prostheses in combination with immediate implant placement.
European J Oral Implantology. 2012 Spring; 5(1): 71-9.



















