Prise en charge combinée – orthodontie par aligneurs et restauration par facettes céramiques
Orthodontie Par Mathieu BENICHOU le 06-10-2025Protocole clinique et intérêt d’un composite autopolymérisant par contact (Stela®, SDI)
L’évolution de la dentisterie moderne repose sur l’intégration de différentes disciplines afin de répondre aux demandes esthétiques et fonctionnelles croissantes des patients. Parmi les traitements les plus fréquents, l’association de l’orthodontie par aligneurs transparents et des restaurations par facettes constitue une approche thérapeutique de choix dans les cas où l’alignement dentaire et la correction esthétique antérieure sont simultanément recherchés.
Ce type de prise en charge combinée permet d’obtenir un résultat optimal, tout en respectant les tissus dentaires et en réduisant l’invasivité des préparations. Cependant, sa mise en œuvre clinique requiert une parfaite maîtrise des protocoles adhésifs, aussi bien pour la pose des attachements orthodontiques que pour le collage des restaurations prothétiques.
Dans ce contexte, l’utilisation de composites autopolymérisants par contact de nouvelle génération, tel que Stela® (SDI, Australie), apporte des avantages techniques et cliniques significatifs. Nous illustrons ici ce protocole à travers un cas clinique d’une patiente ayant bénéficié d’un traitement orthodontique par gouttières invisibles sur dix mois, suivi de la pose de facettes céramiques sur les incisives latérales.
Revue de la littérature
Orthodontie par aligneurs et attachements composites
Les aligneurs transparents nécessitent, dans la majorité des cas, la mise en place d’attachements (ou taquets) afin d’optimiser les mouvements dentaires. Ces micro-ajouts de résine composite sur la surface amélaire permettent :
• d’augmenter la surface de rétention mécanique entre l’aligneur et la dent ;
• de diriger les forces orthodontiques selon des vecteurs précis ;
• de favoriser des mouvements complexes (extrusions, rotations, translations).
La littérature montre que la fiabilité du collage des attachements conditionne directement l’efficacité du traitement orthodontique (Chen et al., 2015 ; Rossini et al., 2016).
Facettes céramiques et protocole adhésif
Les facettes représentent une solution esthétique pérenne, indiquée dans les cas de dyschromies, de restaurations antérieures défectueuses, ou de morphologies dentaires inadaptées. Les avancées dans les protocoles adhésifs ont permis de réduire l’invasivité, avec des préparations limitées à l’émail (Peumans et al., 2000 ; Gurel et al., 2013).
La réussite clinique repose sur :
• un traitement de surface de la dent (mordançage amélaire, adhésif) ;
• un traitement interne de la céramique (acide fluorhydrique, primer silane) ;
• un choix adapté de composite de collage, garantissant à la fois résistance mécanique et propriétés optiques.
Intérêt des composites autopolymérisants par contact
Contrairement aux résines photopolymérisables, dont le degré de conversion dépend de la profondeur d’irradiation lumineuse et des paramètres de polymérisation, les nouveaux composites autopolymérisants par contact (touch cure) offrent :
• une polymérisation homogène et complète, indépendante de la lumière aussi bien pour le composite que pour l’adhésif qui durcissent au contact l’un de l’autre ;
• une réaction de prise démarrant à l’interface adhésif/composite, qui élimine les stress de polymérisation et offre une étanchéité parfaite ;
• une réduction des contraintes liées à la variabilité opérateur-dépendante ;
• une adhésion fiable même dans les zones postérieures ou difficiles d’accès.
Le composite Stela® s’inscrit dans cette nouvelle génération de matériaux, associant un système adhésif chimique enrichit et des performances optiques de haut niveau.
Présentation du cas clinique
Contexte et demande de la patiente





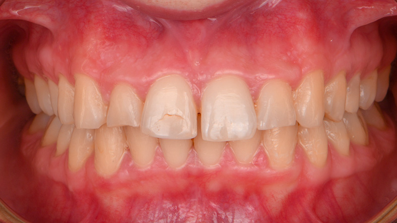
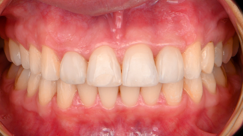
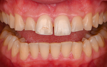
Fig. 01 : situation initiale.
Une patiente adulte consulte pour une réhabilitation esthétique du secteur antérieur.
L’analyse initiale révèle :
• un encombrement dentaire léger à la mandibule ;
• un espacement modéré au maxillaire en inter-incisif ;
• une dysharmonie de taille au niveau des incisives latérales maxillaires ;
• une motivation forte pour une solution esthétique, rapide et peu invasive.
Le plan de traitement retenu consiste en :
1. Orthodontie par aligneurs transparents sur une durée de 10 mois, afin d’aligner les arcades et d’optimiser l’espace prothétique.

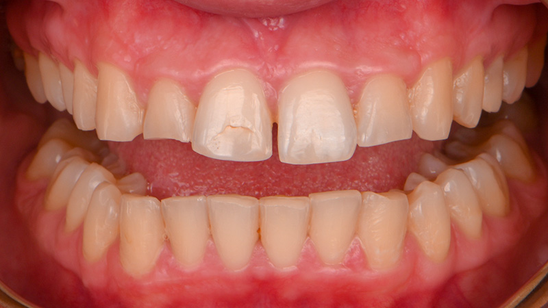
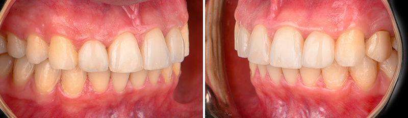
Fig. 02 : simulation facettes avant Invisalign.
2. Ce cas illustre parfaitement l’intérêt d’un alignement préalable pour respecter le gradient thérapeutique. Sur la photo, les nappes colorées indiquent la quantité de tissu dentaire qui aurait dû être préparée afin de suivre le wax-up numérique en l’absence de traitement orthodontique.
3. Une simulation de résultat est proposée à la patiente en mettant en parallèle, simulation 2D grâce au Smile Architect et modélisation 3D du wax up et des objectifs de fin de traitement orthodontique.
4. Restauration par facettes céramiques sur les incisives latérales, pour harmoniser les proportions dentaires et améliorer l’esthétique du sourire.
Protocole clinique
Étape 1 : mise en place des attachements orthodontiques
Objectif des aligneurs
Garantir une transmission optimale des forces mécaniques générées par les aligneurs.
Matériel
• Acide orthophosphorique 37 %.
• Adhésif Stela® Primer (SDI).
• Composite Stela® (SDI).
• Gouttière template pour le positionnement des attachements.
Procédure détaillée
1. Préparation amélaire
– Application d’acide orthophosphorique 37 % pendant 30 secondes sur les surfaces d’émail.
– Rinçage abondant puis séchage doux à l’air.
2. Application de l’adhésif
– Dépôt d’une fine couche de Stela® Primer sur l’émail mordancé.
– L’adhésif est laissé en place sans photopolymérisation préalable.
3. Insertion du composite
– Injection du composite Stela® dans les cavités de la gouttière template préformée.
4. Mise en place de la gouttière
– Positionnement de la gouttière sur l’arcade.
– Pas d’irradiation nécessaire : la réaction d’autopolymérisation se déclenche immédiatement au contact entre le composite et le primer.
5. Temps de prise
– Attente de 1 min 30 pour polymérisation complète.
– Quel que soit le site (incisives, prémolaires, molaires), le taquet est parfaitement durci, garantissant une stabilité mécanique immédiate.
L’intérêt majeur réside dans la constance du degré de conversion, indépendamment de l’accès ou de l’irradiation lumineuse.
Étape 2 : réalisation des facettes céramiques sur 12 et 22
Préparation des dents
Préparation minimale limitée à l’émail, respectant les critères de préservation tissulaire grâce à la préparation orthodontique préalable.
Traitement de surface de la dent
1. Mordançage amélaire : acide orthophosphorique 37 %, 30 secondes.
2. Application du primer Stela® sur la surface préparée, sans photopolymérisation.
Traitement interne des facettes Emax
1. Mordançage interne avec acide fluorhydrique 5 % pendant 20 secondes.
2. Rinçage et séchage.
3. Application d’un primer silane spécifique.
Collage avec composite Stela®
1. Remplissage de l’intrados de la facette avec Stela® composite.
2. Mise en place de la facette sur la dent.
3. Attente d’environ 1 minute pour l’initiation et la polymérisation complète par réaction chimique.
À l’issue de ce temps, la facette est complètement stabilisée, avec une adhésion fiable et immédiate.
Discussion





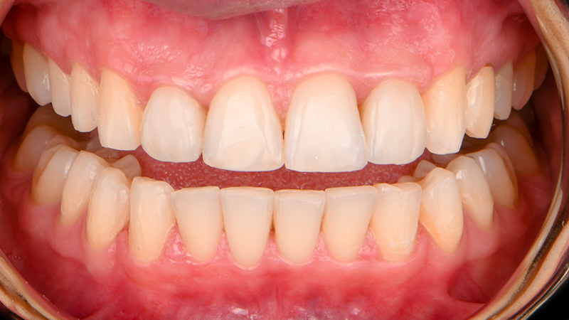
Fig. 03 : situation finale après la prise en charge combinée orthodontie par aligneurs et restauration par facettes céramiques.
Avantages du composite Stela® dans l’orthodontie par aligneurs
• Polymérisation constante : élimine les incertitudes liées à l’accès de la lumière, notamment pour les taquets postérieurs.
• Simplicité opératoire : gain de temps, absence d’étape de photopolymérisation.
• Fiabilité mécanique : résistance comparable, voire supérieure, aux composites photopolymérisables classiques.
Avantages du Stela® dans le collage des facettes
• Propriétés optiques optimales : excellente translucidité et teinte neutre, permettant une
intégration esthétique de la restauration.
• Film fin : adaptation précise, sans surépaisseur visible.
• Résistance mécanique : haute résistance à la compression et à la traction, assurant une
longévité des restaurations.
Limites et perspectives
• La technique demande un strict respect du protocole (séquence acide – primer – composite).
• Les études cliniques à long terme restent limitées mais les données initiales sont
prometteuses.
Conclusion
La combinaison d’un traitement orthodontique par aligneurs transparents et d’une restauration par facettes constitue une approche thérapeutique moderne, esthétique et peu invasive.
L’utilisation d’un composite autopolymérisant tel que Stela® (SDI) optimise la fiabilité et la simplicité des étapes critiques : collage des attachements orthodontiques et fixation des facettes céramiques. Sa polymérisation indépendante de la lumière, ses propriétés optiques et sa résistance mécanique en font un matériau de choix pour les praticiens recherchant à la fois efficacité clinique et excellence esthétique.
Ce cas clinique illustre l’intérêt de cette approche combinée et souligne l’importance d’une intégration interdisciplinaire en dentisterie contemporaine.
Cet article a été rédigé par le Dr Mathieu BENICHOU.
Cet article vous est proposé par SDI.
Références bibliographiques
(1) Chen E, Sirisaengtip R, Katchooi M. Clinical – Efficiency of clear aligner therapy compared to conventional fixed appliances : a systematic review.
Orthod Craniofac Res. 2015;18 Suppl 1:17-26.
(2) Rossini G, Parrini S, Castroflorio T, Deregibus A, Debernardi CL. – Efficacy of clear aligners in controlling orthodontic tooth movement : a systematic review.
Angle Orthod. 2015;85(5):881-9.
(3) Papadimitriou A, Mousoulea S, Gkantidis N, Kloukos D. Clinical. – Effectiveness of Invisalign® orthodontic treatment: a systematic review.
Prog Orthod. 2018;19(1):37.
(4) Tuncay OC. – The Invisalign System.
Quintessence Publishing; 2006.
(5) Gurel G. – The Science and Art of Porcelain Laminate Veneers.
2nd ed. London: Quintessence; 2013.
(6) Peumans M, Van Meerbeek B, Lambrechts P, Vanherle G. – Porcelain veneers A review of the literature.
J Dent. 2000;28(3):163-77.
(7) Castelnuovo J, Tjan AH, Phillips K, Nicholls JI, Kois JC. – Fracture load and mode of failure of ceramic veneers with different preparations.
J Prosthet Dent. 2000;83(2):171-80.
(8) Blatz MB, Sadan A, Kern M. – Resin-ceramic bonding : a review of the literature.
J Prosthet Dent. 2003;89(3):268-74.
(9) Della Bona A, Shen C, Anusavice KJ. – Work of adhesion of resin on treated lithia disilicate-based ceramic.
Dent Mater. 2004;20(4):338-44.
(10) Van Meerbeek B, De Munck J, Yoshida Y, Inoue S, Vargas M, Vijay P, et al. – Buonocore memorial lecture. Adhesion to enamel and dentin : current status and future challenges.
Oper Dent. 2003;28(3):215-35.
(11) Ferracane JL. – Resin composite – State of the art.
Dent Mater. 2011;27(1):29-38.
(12) Ilie N, Hickel R. – Resin composite restorative materials.
Aust Dent J. 2011;56 Suppl 1:59-66.
(13) Stawarczyk B, Krawczuk A, Ilie N. – Mechanical properties of light-cured and self-cured resin composites for temporary restoration materials.
Oper Dent. 2015;40(6):603-15.
(14) Mazzitelli C, Monticelli F, Toledano M, Ferrari M. – Direct resin composites: current perspectives and future challenges.
Dent Mater. 2012;28(1):1-9.
(15) Ruse ND, Sadoun MJ. – Resin-composite blocks for dental CAD/CAM applications.
J Dent Res. 2014;93(12):1232-4.
(16) Dietschi D, Spreafico R. – Evidence-based concepts and procedures for bonded inlays and onlays. Part II. Guidelines for cavity preparation and restoration fabrication.
Int J Esthet Dent. 2015;10(3):392-413.
(17) Coli P, Karlsson S. – Resin composite and ceramic inlays and onlays.
Dent Clin North Am. 2001;45(1):87-104.
(18) Manhart J, Chen H, Hamm G, Hickel R. – Buonocore Memorial Lecture. Review of the clinical survival of direct and indirect restorations in posterior teeth of the permanent dentition.
Oper Dent. 2004;29(5):481-508.
(19) Giannini M, Makishi P, Ayres AP, Vermelho PM, Fronza BM, Nikaido T, et al. – Self-etch adhesive systems: a literature review.
Braz Dent J. 2015;26(1):3-10.
(20) Yoshihara K, Nagaoka N, Hayakawa S, Okihara T, Yoshida Y, Van Meerbeek B. – Chemical interaction of contemporary self-etch adhesives with enamel and dentin.
Dent Mater J. 2019;38(1):85-96.


















