FujiCEM Evolve, un ciment verre ionomère modifié par adjonction de résine innovant pour les restaurations en zircone
Étude clinique Par Roberto SORRENTINO le 13-10-2025La demande esthétique croissante des patients et les propriétés biomécaniques et optiques optimales de la zircone en font un matériau de choix, largement utilisé en dentisterie prothétique pour les restaurations céramiques indirectes(1-4). Récemment, la zircone cubique translucide a été introduite sur le marché en raison de ses meilleures propriétés optiques et de sa résistance au vieillissement(3, 5, 6).
Dans la mesure où la zircone ne contient pas de matrice vitreuse, le matériau est exempt de silice et il ne peut donc pas être conditionné au moyen des techniques classiques de mordançage à l’acide(1, 7, 8). Plusieurs traitements de surface ont été proposés dans la littérature mais, à ce jour, les données sont toujours contradictoires(9, 10).
En raison des propriétés physico-chimiques de la zircone, dans le cas de préparation rétentive et de prothèses de recouvrement total, les scellements conventionnels (ciments verres ionomères et ciments oxyphosphate de zinc) ainsi que les ciments hybrides CVIMAR (ciments verres ionomères modifiés par adjonction de résine) devraient être considérés comme matériaux de premier choix pour le scellement(9, 11, 12).
Histoire du cas
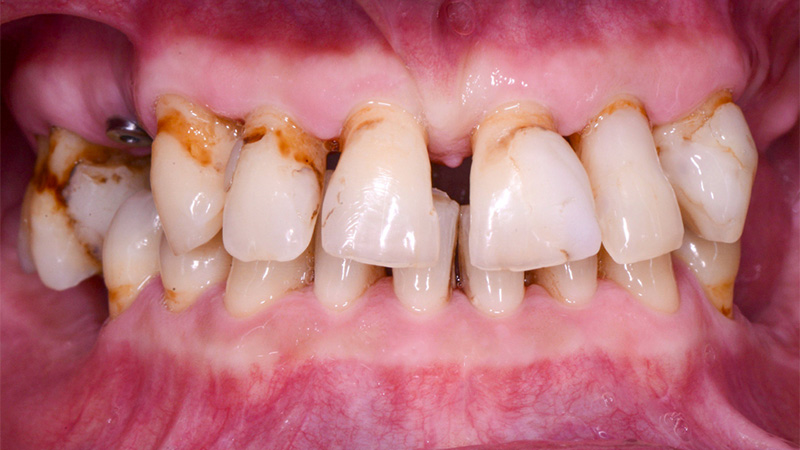
Un patient de 43 ans, traité antérieurement pour une parodontite chronique grave qui s’était stabilisée par la suite, souhaitait une restauration esthétique des deux arcades dentaires dont l’aspect esthétique et les problèmes fonctionnels le préoccupaient.
Fig. 01 : vue extra-orale préopératoire.
Fig. 02 : vue intra-orale préopératoire.
Après l’obtention d’une stabilité occlusale satisfaisante et d’une dimension verticale d’occlusion adéquate grâce à des couronnes unitaires céramo-métalliques implanto-portées sur le secteur postérieur, une évaluation soigneuse des dents antérieures supérieures a été réalisée afin de formuler un plan de traitement esthétique et biomécanique adapté.
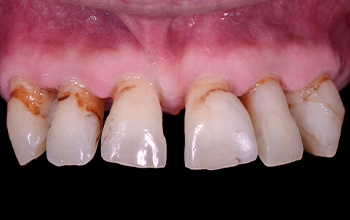
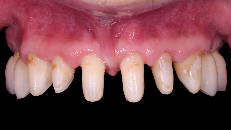
Les problèmes présentés par le patient étaient notamment : diastème, usure dentaire, activité carieuse élevée, coloration modérée, restaurations en composite insatisfaisantes, modification des proportions interdentaires, récessions gingivales et résorption osseuse modérée.
Fig. 03 : vue préopératoire détaillée des dents antérieures supérieures.
Traitement
Conformément aux exigences du patient, aux besoins esthétiques et aux problèmes biomécaniques (supraclusion, longs bras de levier) de ce cas, 6 couronnes unitaires en zircone cubique translucide ont été planifiées afin de parvenir à un aspect naturel des restaurations et à une résistance mécanique fonctionnelle optimale.
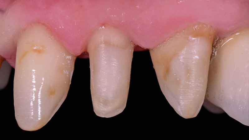
Les dents antérieures supérieures ont fait l’objet de préparations verticales minimalement invasives, comprenant le retrait des anciennes restaurations en composite, l’élimination des caries secondaires et le maintien d’une convergence occlusale globale satisfaisante. Les limites marginales prothétiques ont été positionnées en juxta-gingival et la pulpe de toutes les dents a été conservée.
Fig. 04 : préparation des dents antérieures supérieures pour la pose des couronnes unitaires.
Fig. 05 : vue détaillée du côté droit des préparations dentaires.
Fig. 06 : vue détaillée du côté gauche des préparations dentaires.
Le patient a porté des restaurations provisoires en résine acrylique pendant 3 semaines pour permettre le rétablissement des tissus mous après la préparation et les prises d’empreintes.
Ensuite, 6 couronnes unitaires en zircone cubique translucide ont été fabriquées.
Fig. 07 : couronnes unitaires antérieures en zircone cubique stratifiée. a : vue de l’intrados ; b : vue vestibulaire.
Les faces vestibulaires ont été stratifiées au moyen d’une céramique spécifique, de façon à faire ressortir l’aspect esthétique, tandis que les faces palatines fonctionnelles ont été conservées en monolithique, puis glacées pour éviter tout risque d’éclat.
En raison de l’excellente biocompatibilité de la zircone, les limites marginales prothétiques juxta-gingivales ont été polies manuellement et n’ont pas été recouvertes d’une glazure afin de favoriser la formation d’une attache épithéliale et optimiser l’intégration biologique des restaurations.
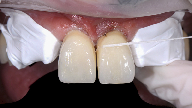
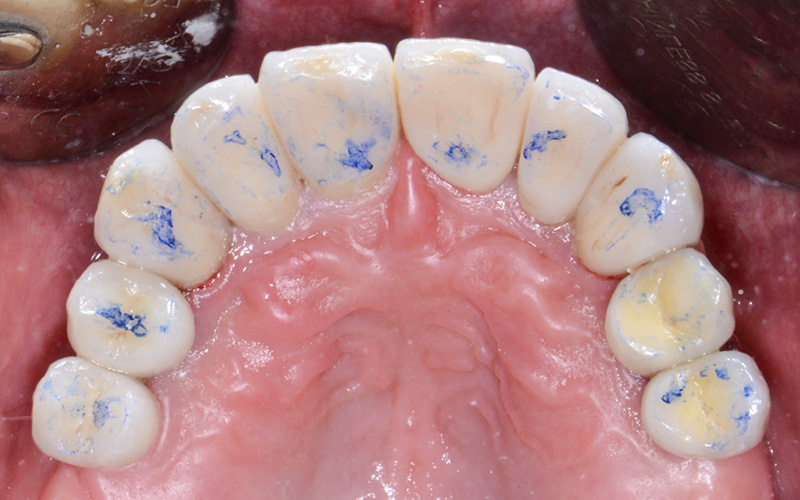
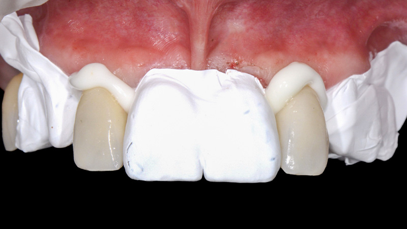
L’intrados en zircone de chaque couronne a été légèrement sablé avec des particules d’oxyde d’aluminium (110 μm) sous une pression de 0,2 MPa. Un ciment verre ionomère de scellement pâte/pâte modifié par adjonction de résine innovant (FujiCEM Evolve) a été utilisé pour sceller les restaurations.
Fig. 08 : couronnes en zircone pour les incisives centrales supérieures remplies de ciment verre ionomère modifié par adjonction de résine.
Étant donné que ce type d’agent de scellement ne requiert pas une isolation complète et permet d’utiliser une technique de scellement conventionnelle, des bandes de polytétrafluoroéthylène (PTFE) ont été utilisées pour protéger les dents adjacentes.
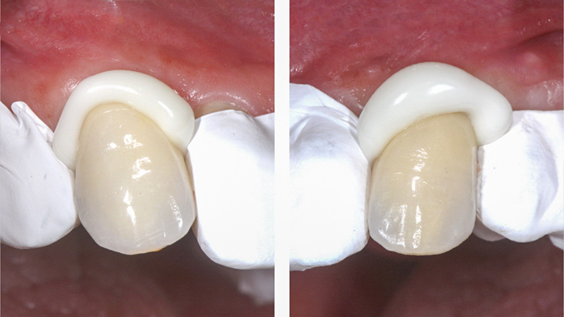
Fig. 09 : scellement des incisives centrales supérieures avec protection en PTFE.
Après la mise en place des restaurations, le ciment a été gélifié par photopolymérisation ; cette étape n’est pas impérative mais favorise une prise plus rapide de l’agent de scellement. Ensuite, l’excès de ciment a été éliminé à l’aide d’une curette en UDMA (uréthane diméthacrylate) afin de ne pas endommager la glazure appliquée sur la surface des couronnes en céramique et un fil dentaire a été utilisé pour nettoyer les espaces interproximaux.
Fig. 10 : élimination de l’excès de ciment cervical des incisives centrales.
Fig. 11 : élimination de l’excès de ciment interproximal des incisives centrales.
La même approche a été utilisée pour sceller les couronnes en zircone sur les incisives latérales et les canines.
Fig. 12 : scellement des incisives latérales supérieures avec protection en PTFE.
Fig. 13 : scellement des canines supérieures avec protection en PTFE.
Finalement, la polymérisation a été achevée après l’application d’une couche faisant office de barrière à l’oxygène de façon à parvenir à la prise complète du ciment au niveau des limites marginales.
Fig. 14 : photopolymérisation des limites marginales prothétiques des couronnes en zircone au travers d’une barrière à l’oxygène.
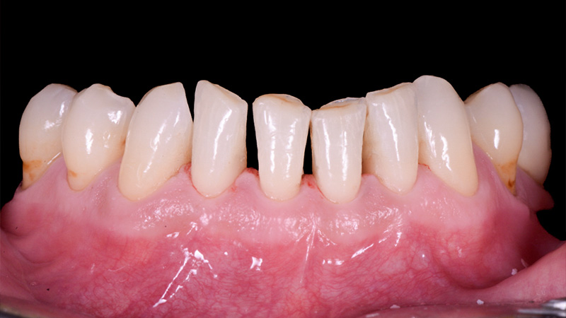
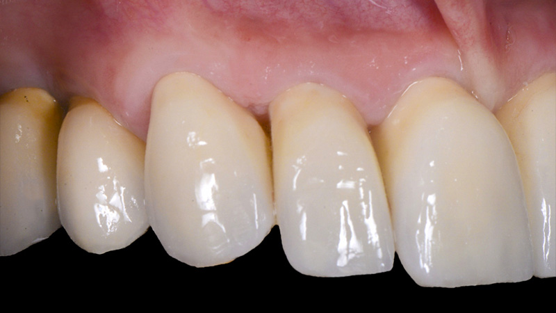
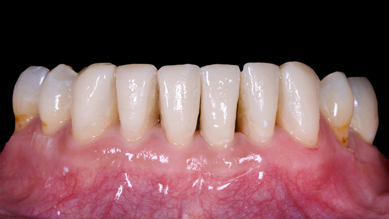
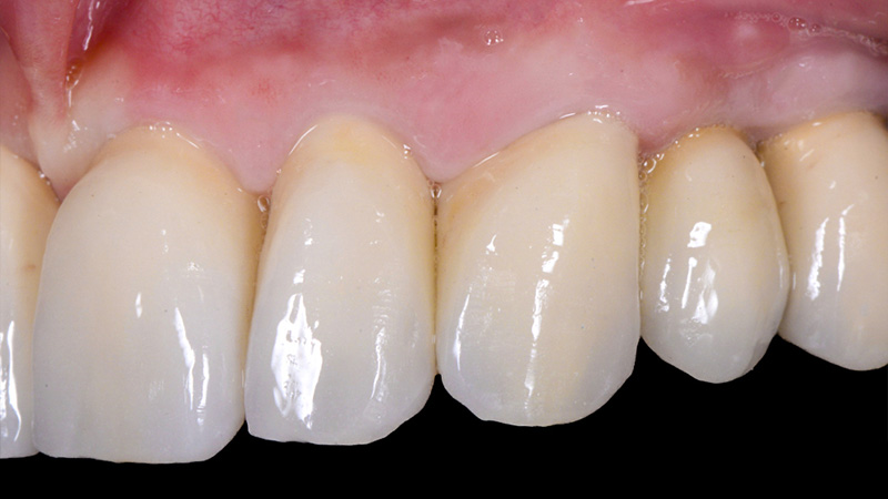
Grâce à l’excellente biocompatibilité de la zircone, à la précision des limites marginales prothétiques et à la performance optimale de FujiCEM Evolve, l’aspect esthétique et l’intégration biologique des couronnes en zircone étaient idéaux 2 semaines après le scellement, parallèlement à une récupération satisfaisante de la santé gingivale et une maturation parodontale adéquate.
Fig. 15 : cicatrisation des tissus mous 2 semaines après le scellement : vue frontale des couronnes unitaires en zircone cubique.
Fig. 16 : vue détaillée postopératoire du côté droit des couronnes unitaires en zircone cubique.
Fig. 17 : vue détaillée postopératoire du côté gauche des couronnes unitaires en zircone cubique.
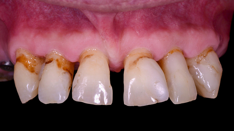
Des raisons économiques ont contraint le patient à opter pour une restauration des dents antérieures inférieures, ectopiques et gravement usées, par un matériau composite.
Fig. 18 : vue préopératoire des dents antérieures inférieures.
Cette région a donc été traitée par des restaurations directes à l’aide d’une technique d’injection de composite fluide (G-ænial Universal Flo).
Fig. 19 : restauration des dents antérieures inférieures par la technique d’injection de composite (G-ænial Universal Flo).
Fig. 20 : vue postopératoire des dents inférieures restaurées par des composites injectés en technique directe.
Les fonctions dynamiques et occlusales adéquates ont été restaurées et soigneusement vérifiées.
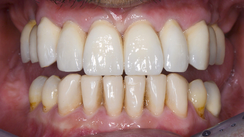
Fig. 21 : vue postopératoire : couronnes unitaires en zircone cubique stratifiée dans l’arcade maxillaire et restauration en composites injectés en technique directe dans l’arcade mandibulaire.
Fig. 22 : vérification fonctionnelle de l’occlusion au niveau de l’arcade maxillaire.
Fig. 23 : vérification fonctionnelle de l’occlusion au niveau de l’arcade mandibulaire.
De plus, le résultat final montre une excellente restauration esthétique de la ligne du sourire du patient.
Fig. 24 : vue extra-orale postopératoire.
Résultat
FujiCEM Evolve a démontré plusieurs avantages, tels que la facilité d’utilisation (grâce à la possibilité d’utiliser la seringue auto-mélangeuse, l’application du ciment ne dépend que très légèrement du savoir-faire du praticien), la tolérance à l’humidité (une propriété idéale en présence de limites juxta-gingivales ou sous gingivales et ne requérant aucune isolation) et la polyvalence (convient à différents matériaux de restauration).
Singulièrement, dans le présent cas, cet agent de scellement a été utilisé pour assembler les couronnes en zircone dans les régions antérieures ainsi que les couronnes céramo-métalliques sur les implants postérieurs, et il a démontré la même fluidité et la même facilité d’élimination des excès de ciment grâce à sa consistance caoutchouteuse agréable, ce qui est très utile pour éviter l’incorporation de particules dans les tissus mous.
Par ailleurs, aucun prétraitement de la céramique n’est indispensable avant l’application du ciment et la technologie à polymérisation duale favorise une prise plus rapide.
Grâce à ses caractéristiques innovantes, FujiCEM Evolve écarte tout risque de sensibilité post-opératoire et sa radio-opacité facilite considérablement l’identification des excès sous-gingivaux éventuels.
Remerciements
L’auteur tient à remercier le maître prothésiste Vincenzo Mutone pour le soutien offert par le laboratoire dentaire.
Cet article a été écrit par le Pr Roberto SORRENTINO et vous est proposé par GC France.
Références bibliographiques
(1) Zarone F, Russo S, Sorrentino R. – From porcelain – fused-to-metal to zirconia : clinical and experimental considerations.
Dent Mater 2011;27:83-96.
(2) Fabbri G, Fradeani M, Dellificorelli G, et al. – Clinical evaluation of the influence of connection type and restoration height on the reliability of zirconia abutments : A retrospective study on 965 abutments with a mean 6-year follow-up.
Int J Periodontics Restorative Dent 2017;37:19-31.
(3) Shahmiri R, Standard OC, Hart JN, Sorrell CC. – Optical properties of zirconia ceramics for esthetic dental restorations : A systematic review.
J Prosthet Dent 2018;119:36-46.
(4) Zhang Y, Lawn BR. – Evaluating dental zirconia.
Dent Mater. 2019 Jan;35(1):15-23.
(5) Camposilvan E., Leone R, Gremillard L, et al. – Aging resistance, mechanical properties and translucency of different yttriastabilized zirconia ceramics for monolithic dental crown applications.
Dent Mater 2018;34:879-890.
(6) Rodrigues CDS, Aurélio IL, Kaizer MDR, Zhang Y, May LG. – Do thermal treatments affect the mechanical behavior of porcelain-veneered zirconia ? A systematic review and meta-analysis.
Dent Mater. 2019 Mar 4. pii: S0109-5641(18)31467-2.xs.
(7) Zarone F, Sorrentino R, Vaccaro F, et al. – Acid etching surface treatment of feldspathic, alumina and zirconia ceramics : a micromorphological SEM analysis.
Int Dent South Afr 2006;8:50-56. 274.
(8) Maroulakos G, Thompson GA, Kontogiorgos ED. – Effect of cement type on the clinical performance and complications of zirconia and lithium disilicate tooth-supported crowns: A systematic review. Report of the Committee on Research in Fixed Prosthodontics of the American Academy of Fixed Prosthodontics.
J Prosthet Dent. 2019 Mar 15. pii: S0022-3913(18)30712-1. doi: 10.1016/j.prosdent.2018.10.011. [Epub ahead of print].
(9) Pilo R, Dimitriadi M, Palaghia A, Eliades G. – Effect of tribochemical treatments and silane reactivity on resin bonding to zirconia.
Dent Mater 2018;34:306- 316.
(10) Schünemann FH, Galárraga-Vinueza ME, Magini R, Fredel M, Silva F, Souza JCM, Zhang Y, Henriques B.
Zirconia surface modifications for implant dentistry.
Mater Sci Eng C Mater Biol Appl. 2019;98:1294-1305.
(11) Papia E, Larsson C, du Toit M, Vult von Steyern P. – Bonding between oxide ceramics and adhesive cement systems: a systematic review.
Biomed Mater Res B Appl Biomater 2014;102:395-413.
(12) Luthra R, Kaur P. – An insight into current concepts and techniques in resin bonding to high strength ceramics.
Aust Dent J 2016;61:163-173.



















