Accueil >
Se former
> Formation continue >

Les implants zircone : une révolution en implantologie ?

Best of Implantology, Implantologie Par Tolomeo BOIOLI le 27-10-2025

À l’occasion du congrès Best of Implantology 2025, le Dr Tolomeo Boioli a partagé son expertise sur les implants en zircone, notamment en secteur antérieur, où l’esthétique est primordiale. Depuis 2004, les implants en zircone monobloc, conçus en une seule pièce, semblent marquer un tournant dans le domaine de l’implantologie moderne.

 

 

Fort de plus de 25 ans d’expérience, le Dr Boioli a pu observer, comme tout praticien expérimenté, certaines complications survenant à moyen ou long terme, telles que des pertes osseuses crestales. Bien que rares et n’affectant ni l’esthétique ni la fonction à court terme, ces situations posent une question centrale en implantologie : comment optimiser davantage la pérennité des traitements ?

 

Les implants en zircone

C’est dans cette optique que le Dr Boioli s’est tourné vers les implants zircone monobloc, répondant à cinq critères essentiels  :
• Des propriétés mécaniques adaptées à la réhabilitation orale
• Une biocompatibilité optimale, aussi bien pour les tissus durs que les tissus mous
• Une esthétique durable sur le moyen et long terme
• Un faible taux de péri-implantite
• Un taux de survie équivalent à celui des implants en titane

Matériau céramique d’origine minérale, la zircone séduit par sa solidité, sa blancheur naturelle proche de la dent, et son excellente tolérance biologique. Longtemps utilisée en prothèse, elle trouve désormais toute sa place en implantologie !

 

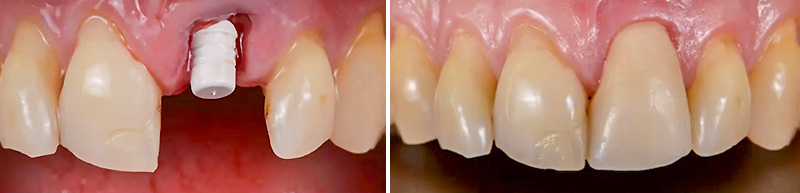
implant zircone, avant - après

 

Convaincu par les résultats cliniques obtenus depuis plusieurs années, le Dr Boioli intègre de plus en plus les implants en zircone dans sa pratique quotidienne. Sans pour autant totalement écarter les implants en titane.

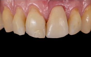
Dans cette conférence, il expose un cas clinique : celui d’un patient de 40 ans, sans antécédents médicaux, présentant une résorption interne de la dent 21. Ce cas illustre concrètement les bénéfices d’une approche centrée sur la zircone, tant en termes d’esthétique que de biologie tissulaire.

 


 

Retrouvez tous les replays du congrès en exclusivité sur Dentalespace, dans la rubrique dédiée à Best of Implantology.

Best Of en Région 2025

 

FavoriteLoadingAjouter aux favoris Partager à un ami
Partager

Envoyer un commentaire