Certaines réhabilitations esthétiques imposent d’associer facettes et couronnes afin d’obtenir une harmonie satisfaisante du sourire. Environ 10 % des patients adultes présentent en effet une incisive centrale traumatisée, ayant parfois nécessité une dépulpation, suivie de la mise en place d’un inlay-core puis d’une couronne périphérique.
Du fait de leur position centrale dans le sourire, les incisives centrales exigent une symétrie quasi parfaite, tant sur le plan morphologique que chromatique. Or, la différence de nature des substrats complique souvent l’obtention d’une teinte — et surtout d’une luminosité — équivalente entre une incisive centrale vitale restaurée par une facette en céramique et une incisive centrale dépulpée, reconstituée corono-radiculairement et recouverte par une couronne.
Les deux cas cliniques présentés ci-dessous illustrent différentes stratégies permettant de faciliter le travail du céramiste et d’optimiser l’obtention de ce résultat esthétique.
Premier cas clinique – Traitement classique
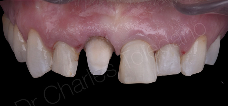
Fig. 01 : cette patiente de 42 ans consulte pour améliorer l’harmonie de son sourire et se plaint particulièrement de la couleur et de la forme de son ancienne couronne sur 11.
La 11 est dépulpée, sans foyer infectieux, et reconstituée par un inlay-core métallique comportant un tenon de volume important.
La 21 présente une restauration composite d’angle.
L’analyse clinique et esthétique conduit à proposer le remplacement de la couronne sur 11, associé à la réalisation de trois facettes sur 12, 21 et 22.
Fig. 02 : après sondage sulculaire, une gingivectomie est réalisée sur 12, 11 et 22 afin d’harmoniser le niveau des collets gingivaux.
Fig. 03 : des composites directs sont ensuite collés pour stabiliser le niveau gingival obtenu et proposer un nouveau design esthétique.
Fig. 04 : après un mois de cicatrisation gingivale, les préparations des facettes sont réalisées à travers ce projet esthétique.
Fig. 05 : la dépose de la couronne sur 11 révèle un moignon dentinaire dyschromié associé à un inlay-core métallique argenté, rendant l’obtention d’un résultat esthétique homogène avec la 21 particulièrement délicate. L’analyse du rapport bénéfice/risque conduit à conserver cette reconstitution corono-radiculaire.
Fig. 06 : afin de limiter le contraste chromatique, le moignon de la 11 est microsablé, mordancé, puis recouvert d’un adhésif universel et d’un composite de masquage opaque.
Fig. 07 : cette procédure permet d’harmoniser la couleur des supports, sans toutefois corriger la différence de volume à reconstituer.
Fig. 08 : l’écart d’épaisseur nécessaire entre une facette et une couronne constitue alors une difficulté majeure pour le céramiste.
Fig. 09 : une couronne sur 11 et trois facettes en disilicate de lithium sont collées lors d’une même séance.

Fig. 10 et 11 : le résultat final, bien que satisfaisant pour la patiente, met en évidence une différence résiduelle de luminosité entre 11 et 21 (Laboratoire Dominique Watzki).
Cette situation rappelle que le rendu final dépend toujours de la situation clinique initiale et que certains contextes peuvent limiter le résultat esthétique optimal. Elle illustre aussi la nécessité d’harmoniser non seulement la couleur, mais également le volume des restaurations, afin de faciliter l’obtention d’une luminosité équivalente entre une facette et une couronne adjacente sur deux incisives centrales.
Second cas clinique – traitement par collage de facette sur une coiffe


Fig. 12, 13 et 14 : cette patiente de 64 ans consulte pour une gêne esthétique liée à l’harmonie de son sourire, notamment en raison de récessions gingivales sur d’anciennes couronnes postérieures et d’une asymétrie marquée entre 11 et 21. La 21 est dépulpée et restaurée par un inlay-core associé à une couronne céramo-métallique.
La 11 est vitale et restaurée par deux anciens composites.
Fig. 15 : après dépose des anciennes couronnes, les reconstitutions corono-radiculaires les moins rétentives sont descellées afin d’optimiser la couleur finale des restaurations. Lorsque cela est possible, ce descellement est particulièrement indiqué au niveau des incisives centrales destinées à recevoir des restaurations céramiques translucides.
Fig. 16 : la 21 est restaurée par un composite associé à un tenon fibré.
Fig. 17 : une coiffe périphérique en disilicate de lithium (E.max MO1) est réalisée afin de créer un support restaurateur comparable à celui de la dent adjacente.

Fig. 18 et 19 : la coiffe céramique est collée sur le faux-moignon, permettant de reconstituer simultanément la couleur et le volume de la 21.
Fig. 20 : l’émail de la 11 est mordancé et le disilicate de lithium est conditionné à l’aide de Monobond® Etch & Prime – Ivoclar.
Fig. 21 : un adhésif universel est appliqué par frottement sur l’ensemble des surfaces conditionnées (G-Premio BOND – GC).
Fig. 22 : deux facettes en disilicate de lithium (E.max MO1) sont mises en place sous pression (OptraSculpt® – Ivoclar) et collées à l’aide d’un composite fluide photopolymérisable hautement chargé (G-ænial Universal Injectable – GC).
Fig. 23 : vue immédiate après dépose du champ opératoire.

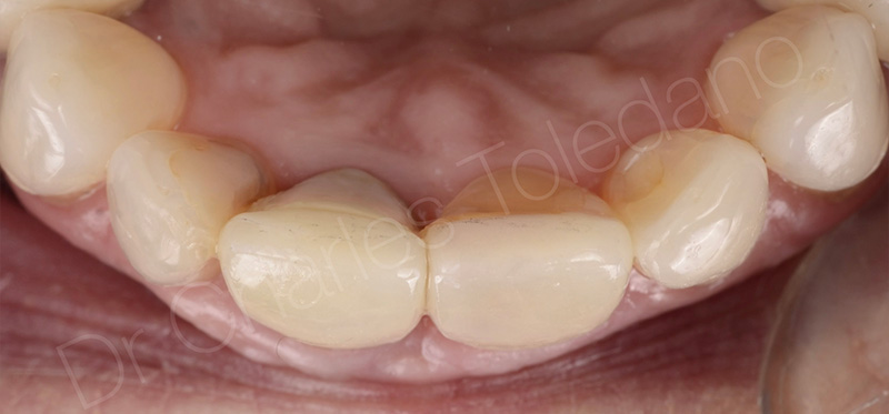
Fig. 24 et 25 : vues à 15 jours postopératoires montrant la luminosité équivalente obtenue sur les deux incisives centrales.
Fig. 26 : vue incisale illustrant la symétrie de forme et d’épaisseur des deux facettes vestibulaires collées (Laboratoire Stéphane Pezin).
Discussion sur la facette sur coiffe
La restauration de deux incisives centrales de nature différente constitue un défi majeur, tant pour le praticien que pour le céramiste.
L’homogénéisation de la couleur des supports améliore le résultat mais s’avère souvent insuffisante pour garantir une luminosité finale identique, l’épaisseur de la céramique jouant un rôle déterminant dans le rendu optique.
La technique de la facette sur coiffe implique certes un surcoût financier, mais celui-ci est fréquemment compensé par la réduction du nombre de séances d’essai et par un niveau élevé de satisfaction des patients exigeants.
Cette coiffe peut être réalisée en disilicate de lithium lorsque les conditions de collage cervical étanche sont réunies. La zircone constitue également une alternative intéressante, notamment lorsqu’un scellement adhésif est requis ; elle nécessite alors un microsablage préalable, suivi de l’application d’un primer à base de 10-MDP avant l’utilisation d’une colle composite duale.
Cet article vous est proposé par Esthet Practical.
Prochaine session d’Esthet Practical « Le traitement esthétique postérieur » les 26 et 27 mars 2026. Inscrivez-vous aux cours et travaux pratiques à Strasbourg, en cliquant ici.
Dr Charles Toledano
Co-fondateur d’Esthet Practical
Docteur en Chirurgie Dentaire
Attaché Hospitalo-Universitaire
Chargé d’Enseignement Universitaire
Coordinateur du DU d’Esthétique du Sourire
CES de Biomatériaux (Strasbourg), CES de Prothèse Fixée (Nancy), CES d‘Odontologie Conservatrice – Endodontie (Nancy)



















