Accueil >
Se former
> Formation continue >
pré-endodontique d’une prémolaire

Désobturation et reconstruction pré-endodontique d’une prémolaire

Endodontie et micro-chirurgie Par Sam Dan ASSOUS le 09-02-2026

État initial d’une prémolaire

prémolaire, le composite présente une étanchéité insuffisanteFig. 01 : Ie composite présente une étanchéité insuffisante, notamment avec la reprise
d’une lésion carieuse en distal.

prémolaire, la LIPOE Fig. 02 : la LIPOE est centrée sur la racine
palatine et le canal est clairement
identifiable au CBCT.

 

prémolaire, la corticale sous-sinusienne est intacte.Fig. 03 : Ia corticale sous-sinusienne
est intacte.

prémolaire, la LIPOE Fig. 04 : le canal vestibulaire est totalement oblitéré, sans signe d’infection visible.

 

Approche thérapeutique

Nous avons choisi de réaliser la dépose intégrale des éléments coronaires afin d’accéder aux canaux, mais surtout d’augmenter nos chances de détecter et de traiter d’éventuelles fêlures ou caries secondaires(1).
L’infection observée sur la racine palatine pourrait être liée à une obturation courte(2) ou à la persistance d’un biofilm intra-canalaire(3).

En l’absence de LIPOE sur la racine vestibulaire, le pronostic reste très favorable(4). Mais nous avons pu accéder à cet apex sans trop forcer, lors de la préparation.
Le traitement endodontique sera finalisé par une restauration en composite collé dans la séance, et la réalisation d’une couronne sera indiquée afin de maximiser les chances de succès à long terme(5).

 

prémolaire, radio pré-opératoireFig. 05 : radio pré-opératoire.

prémolaire, radio per-opératoire cone en placeFig. 06 : radio per-opératoire cone en place.

 

radio per-opératoire cone ajustéFig. 07 : radio per-opératoire cone ajusté.

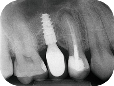
Radio per-opératoire après WVCFig. 08 : radio per-opératoire après WVC.

 

Radio post-opératoire après collageFig. 09 : radio per-opératoire après collage.

Photo post-opératoire après WVCFig. 10 : photo per-opératoire après WVC.

 

Pronostic à long terme de la prémolaire

Le pronostic endodontique est bon car nous avons identifié et traiter la cause de l’infection.

 

 

Le pronostic mécanique est plus réservé mais reste acceptable, la fêlure ne semblant pas s’être propagée plus apicalement cliniquement et lors de l’analyse 3D(6). Associée à la restauration prothétique réalisée par le correspondant, cette dent présente encore de belles années(7).

 

Matériels utilisés :

Digue sans latex medium bleu 15,2×15,2 – R&S
Miroir FS Ultra – Hahnenkratt
Fraise diamantée multi-couches longue ronde 802L Iso 18 – GZ instrumente
Fraise carbure de tungstène boule H1SEM Iso 21 – Komet
Fraise carbure de tungstène boule LN Iso 16 – Dentsply
Fraise carbure de tungstène boule LN Iso 08 – Dentsply
G-aenial Universal Injectable A1 – GC
Insert ultrason GD8 – DTE Woodpecker
Profile 30.06% 21mm à 1000rpm – Dentsply
Aiguilles d’irrigation IrriFlex – Produits dentaires
Hypochlorite de sodium 6% – Coltene
ZEISS Omni Pico – Sony ZV-E10 – Beam splitter 80-20

 


 

Cet article sur la désobturation et reconstruction pré-endodontique d’une prémolaire a été rédigé par le Dr Sam Dan ASSOUS,

 

Références bibliographiques

(1) Abbott PV. Assessing restored teeth with pulp and periapical diseases for the presence of cracks, caries and marginal breakdown.
Aust Dent J. 2004 Mar;49(1):33-9; quiz 45. doi: 10.1111/j.1834-7819.2004.tb00047.x. PMID: 15104132.

(2) Chugal NM, Clive JM, Spångberg LS. Endodontic infection: some biologic and treatment factors associated with outcome.
Oral Surg Oral Med Oral Pathol Oral Radiol Endod. 2003 Jul;96(1):81-90. doi: 10.1016/s1079-2104(02)91703-8. PMID: 12847449.

(3) Ricucci D, Siqueira JF Jr. Biofilms and apical periodontitis: study of prevalence and association with clinical and histopathologic findings.
J Endod. 2010 Aug;36(8):1277-88. doi: 10.1016/j.joen.2010.04.007. Epub 2010 Jun 14. PMID: 20647081.

(4) Akerblom A, Hasselgren G. The prognosis for endodontic treatment of obliterated root canals.
J Endod. 1988 Nov;14(11):565-7. doi: 10.1016/s0099-2399(88)80092-x. PMID: 3249196.

(5) Gillen BM, Looney SW, Gu LS, Loushine BA, Weller RN, Loushine RJ, Pashley DH, Tay FR. Impact of the quality of coronal restoration versus the quality of root canal fillings on success of root canal treatment: a systematic review and meta-analysis.
J Endod. 2011 Jul;37(7):895-902. doi: 10.1016/j.joen.2011.04.002. Epub 2011 May 24. PMID: 21689541; PMCID: PMC3815527.

(6) Alaugaily I, Azim AA. CBCT Patterns of Bone Loss and Clinical Predictors for the Diagnosis of Cracked Teeth and Teeth with Vertical Root Fracture.
J Endod. 2022 Sep;48(9):1100-1106. doi: 10.1016/j.joen.2022.06.004. Epub 2022 Jun 14. PMID: 35714728.

(7) de Toubes KMS, Soares CJ, Soares RV, Côrtes MIS, Tonelli SQ, Bruzinga FFB, Silveira FF. The Correlation of Crack Lines and Definitive Restorations with the Survival and Success Rates of Cracked Teeth: A Long-term Retrospective Clinical Study.
J Endod. 2022 Feb;48(2):190-199. doi: 10.1016/j.joen.2021.10.010. Epub 2021 Nov 6. PMID: 34752828.

FavoriteLoadingAjouter aux favoris Partager à un ami
Partager

Envoyer un commentaire