Temporisation immédiate d’implant avec un bridge antérieur de trois unités
Implantologie Par Gautier DUPONT le 09-03-2026Présentation initiale
Un patient de 67 ans s’est présenté après avoir perdu deux fois son bridge au maxillaire antérieure. Il recherchait une solution fixe avec une meilleure esthétique et a été adressé par son praticien habituel pour un traitement implantaire.

Fig. 1 : Vue préopératoire antérieure.
Planification du traitement et diagnostic
Un examen médical complet a révélé qu’il était en bonne santé, sans problèmes systémiques ou buccaux majeurs. À l’évaluation, les racines existantes des dents 12 et 21 nécessitaient une extraction. Des radiographies ont été réalisées pour évaluer le volume et la qualité osseuse, ce qui a confirmé un espace suffisant pour la pose de deux implants.

Fig. 2a : Radiographie préopératoire avec planification implantaire.
Fig. 2b : Radiographie préopératoire avec planification implantaire.
Une greffe osseuse était indiquée au site 21 pour assurer une bonne stabilité.
Le cas était idéal pour une temporisation immédiate, avec un bridge de trois éléments fabriqué au laboratoire fourni le jour de la chirurgie. La procédure, ses avantages et ses limites ont été expliqués au patient afin d’obtenir son consentement éclairé.
Chirurgie et résultats initiaux
Les racines défaillantes ont été extraites de manière atraumatique (21 et 12).

Fig. 3 : Extraction atraumatique de la 12 et 21.
Deux implants CAMLOG® PROGRESSIVE-LINE de 3,8 mm × 13 mm ont été posés dans les alvéoles d’extraction.
Fig. 4 : Mise en place de l’implant.
Une greffe osseuse simultanée a été réalisée en utilisant MinerOss® XP dans l’alvéole 21 afin de favoriser un volume osseux accru et la stabilité. Une membrane de collagène résorbable Striate+™ a été insérée en vestibulaire entre le MinerOss® XP et la gencive.

Fig. 5 : Membrane placée pour stabiliser le matériau de greffe osseuse autour de l’implant.
Fig. 6 : Les implants sont placés.
Fig. 7 : Les scanbodies sont placés.

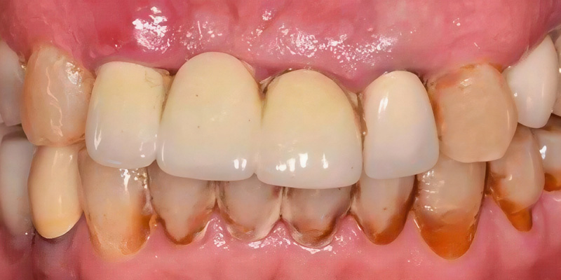
Fig. 8 : Restauration temporaire.
Des piliers Empress ont ensuite été posés, et des empreintes ont été réalisées pour la fabrication du bridge temporaire placé avant la fin de la journée.
Fig. 9 : Mise en place du bridge provisoire.
Avantages des solutions choisies
Les implants CAMLOG® PROGRESSIVE-LINE ont été choisis dans ce cas car ils permettent une grande stabilité primaire, essentielle pour les cas de temporisation immédiate.
Le MinerOss® XP a également démontré son efficacité pour augmenter la stabilité implantaire, offrant une matrice minérale porcine inorganique très poreuse.
Principaux résultats cliniques et conclusion
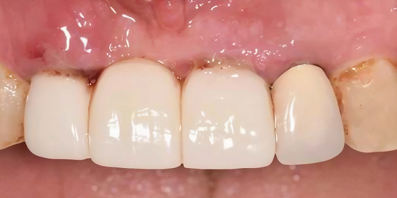
Le patient était très satisfait du résultat obtenu, qui a répondu à toutes ses attentes.
Fig. 10 : Provisoire le jour de la chirurgie.


Fig. 11a : Radiographie post-opératoire.
Fig. 11b : Radiographie post-opératoire.
L’option de temporisation immédiate constitue un avantage important en réduisant le temps de traitement et en favorisant une récupération rapide.


















